Endocrine Glands
Ενδοκρινείς Αδένες
203 images · 2 sub-chapters

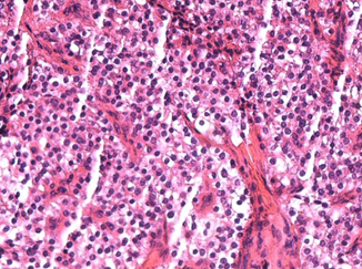
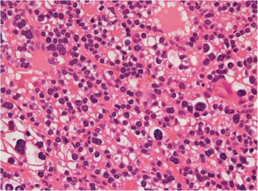
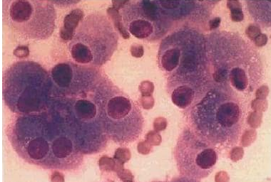
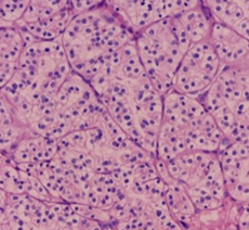
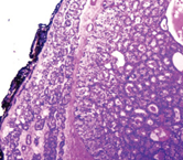
Oncocytes (Hürthle cells) with their characteristic eosinophilic, granular cytoplasm and distinct nucleoli (Courtesy Dr. V. Penopoulos)

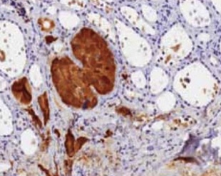
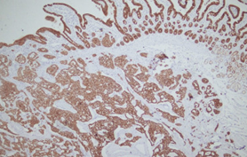
Immunohistochemical evaluation demonstrated positivity for parathyroid hormone and chromogranin, with low mitotic and proliferative activity (Courtesy Dr. V. Penopoulos)

Immunohistochemical evaluation demonstrated positivity for parathyroid hormone and chromogranin, with low mitotic and proliferative activity (Courtesy Dr. V. Penopoulos)

Appearance of parathyroid adenoma , after opening of the carotid sheath (Courtesy Dr. V. Penopoulos)

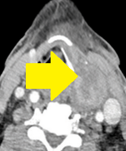
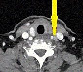
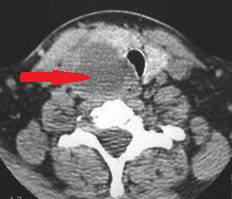
Contrast-enhanced CT demonstrates soft-tissue lesion in left carotid sheath (Courtesy Dr. V. Penopoulos)

CT-Scan neck showed diffusely enlarged thyroid gland with heterogeneous enhancement but no calcification

Ultrasound scan of the neck revealed heterogeneous parenchymal echotexture of both the thyroid lobes with multiple heterogeneous nodules seen

Markedly decreased uptake of 99mTc-pertechnetate by the thyroid gland consistent with thyroiditis

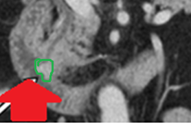
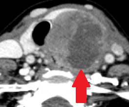
CT — Well-circumscribed nodule in contact with the lower pole of the left thyroid lobe (Courtesy Dr. V. Penopoulos)

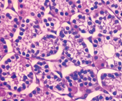
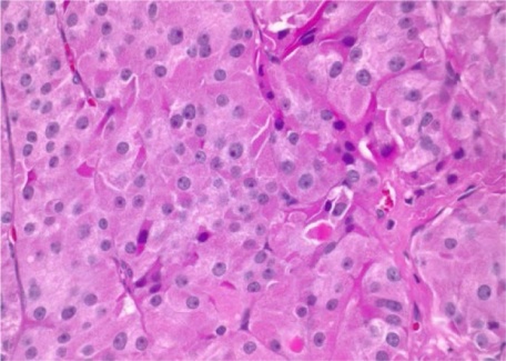
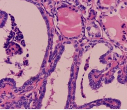
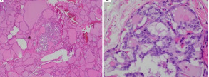
Water-clear cell parathyroid adenoma. The cells display minimal nuclear pleomorphism and have a uniform foamy cytoplasm (Courtesy Dr. V. Penopoulos)

Water-clear cell parathyroid adenoma. The cells display minimal nuclear pleomorphism and have a uniform foamy cytoplasm (Courtesy Dr. V. Penopoulos)

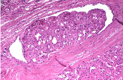
Blue arrow — Parathyroid adenoma. Green arrow — Area of necrosis and hemorrhage (Courtesy Dr. V. Penopoulos)

99mTc Sestamibi scintigraphy — Increased uptake of left inferior parathyroid gland (Courtesy Dr. V. Penopoulos)

Thymic neuroendocrine carcinoma with pericardial invasion (Courtesy Dr. V. Penopoulos)

Immunohistochemical examination. Strong positivity for chromogranin (Courtesy Dr. V. Penopoulos)

Subtraction scintigraphy suggestive of a right sided parathyroid adenoma and lack of thyroid perception (Courtesy Dr. V. Penopoulos)

Subtraction scintigraphy suggestive of a right sided parathyroid adenoma and lack of thyroid perception (Courtesy Dr. V. Penopoulos)

Subtraction scintigraphy suggestive of a right sided parathyroid adenoma and lack of thyroid perception (Courtesy Dr. V. Penopoulos)

CT Scan indicating swollen right thyroid lobe with a sizable nodule in / adjacent to the right lower pole (Courtesy Dr. V. Penopoulos)

Purple arrow: over-descended large superior parathyroid adenoma. Yellow arrow: normal right inferior parathyroid gland found in the thymothyroid ligament (Courtesy Dr. V. Penopoulos)

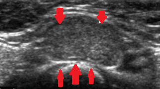
Neck ultrasound. Presence of a right inferior parathyroid adenoma (Courtesy Dr. V. Penopoulos)

Purple arrow: over-descended large superior parathyroid adenoma. Yellow arrow: normal right inferior parathyroid gland found in the thymothyroid ligament (Courtesy Dr. V. Penopoulos)

Purple arrow: over-descended large superior parathyroid adenoma. Yellow arrow: normal right inferior parathyroid gland found in the thymothyroid ligament (Courtesy Dr. V. Penopoulos)

Neck CT. Red arrow — Large cyst on the right, compressing the esophagus, with well-defined margins and colloid content (Courtesy Dr. V. Penopoulos)

Histopathological examination of parathyroid adenocarcinoma (Courtesy Dr. V. Penopoulos)

Histopathological examination of parathyroid adenocarcinoma (Courtesy Dr. V. Penopoulos)

Histopathological examination of parathyroid adenocarcinoma (Courtesy Dr. V. Penopoulos)

PET scan. Findings consistent with parathyroid carcinoma (Courtesy Dr. V. Penopoulos)

Postoperative endoscopy and chest-neck CT. Complete disappearance of the esophageal varices (Courtesy Dr. V. Penopoulos)

Postoperative endoscopy and chest-neck CT. Complete disappearance of the esophageal varices (Courtesy Dr. V. Penopoulos)

Postoperative endoscopy and chest-neck CT. Complete disappearance of the esophageal varices (Courtesy Dr. V. Penopoulos)

Yellow arrow: dilated venous plexus. Green arrow: trachea. Purple arrow: enlarged right thyroid lobe with central cystic degeneration (Courtesy Dr. V. Penopoulos)

Chest-neck CT. Red outline: enlarged right thyroid lobe. Green arrow: mild pressure on the trachea. Red arrow: downhill esophageal varices (Courtesy Dr. V. Penopoulos)

The right inferior laryngeal nerve was densely adherent to the papillary tumor (Courtesy Dr. V. Penopoulos)

The right inferior laryngeal nerve was densely adherent to the papillary tumor (Courtesy Dr. V. Penopoulos)

The right inferior laryngeal nerve was densely adherent to the papillary tumor (Courtesy Dr. V. Penopoulos)

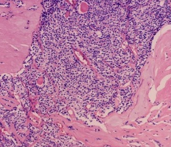
The diffuse sclerosing papillary carcinoma of the right lobe is evident . Two groups of infiltrated lymph nodes are also seen (Courtesy Dr. V. Penopoulos)

A growing papillary tumor with remarkable fibrosis and lymphocytic infiltration is clearly seen (Courtesy Dr. V. Penopoulos)

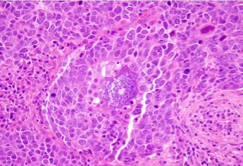
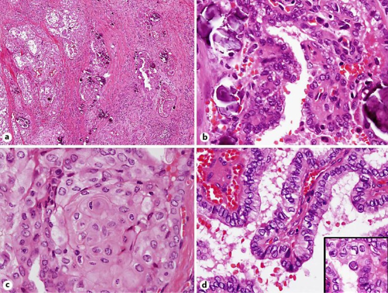
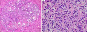
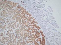
Figure 7 . Epithelial cells with an organoid and trabecular pattern with positive immunohystochemical staining for calcitonin .

Figure 1 . Signaling pathways implicated in medullary thyroid carcinoma tumorigenesis .

Figure 5 . Surgical specimen a) Blue arrows: encapsulated medullary microcarcinoma b) Yellow arrows : parathyroid glands . c) Green arrow : Benign thyroid nodule . ( Courtesy Dr . V . Penopoulos ) .

FiFigures 2,3,4 . Thyroid U/S . Encapsulated medullary microcarcinoma . (Courtesy Dr . V . Penopoulos) .

Figure 6 . Epithelial cells with an organoid and trabecular pattern with positive immunohystochemical staining for chromogranin .

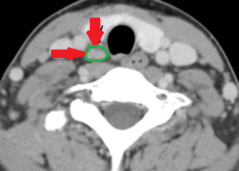
Neck SPECT/CT. Green arrow — Ectopic (within the sheath) parathyroid adenoma. Red arrow — Right common carotid artery (Courtesy Dr. V. Penopoulos)

Green arrow — Right common carotid artery. Blue arrow — Right internal jugular vein. Purple arrow — Parathyroid adenoma. Yellow arrow — Right vagus nerve. Brown arrow — Trachea. Light brown arrow — Right recurrent laryngeal nerve (Courtesy Dr. V. Penopoulos)

Green arrow — Right common carotid artery. Blue arrow — Right internal jugular vein. Purple arrow — Parathyroid adenoma. Yellow arrow — Right vagus nerve. Brown arrow — Trachea. Light brown arrow — Right recurrent laryngeal nerve (Courtesy Dr. V. Penopoulos)

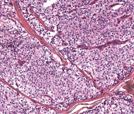
Parathyroid adenoma. The cells demonstrate moderate pleomorphism, with centrally located round nuclei and clear/eosinophilic cytoplasm, without cellular atypia or mitotic activity (Courtesy Dr. V. Penopoulos)

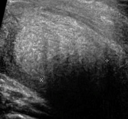
Cervical ultrasound. Medullary carcinoma. Visible microcalcifications (Courtesy Dr. V. Penopoulos)

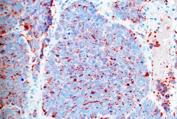
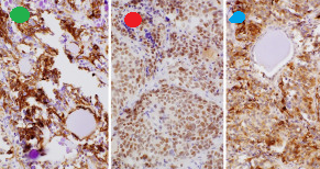
Green dot: Strong positivity for calcitonin. Red dot: Weak positivity for TTF-1 (Thyroid Transcription Factor). Blue dot: Strong positivity for Cytokeratin 7 (Courtesy Dr. V. Penopoulos)

Green dot: Strong positivity for calcitonin. Red dot: Weak positivity for TTF-1 (Thyroid Transcription Factor). Blue dot: Strong positivity for Cytokeratin 7 (Courtesy Dr. V. Penopoulos)

Inferior laryngeal nerve monitoring before and after total thyroidectomy (Courtesy Dr. V. Penopoulos)

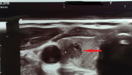
Cervical ultrasound. Green arrow: Papillary carcinoma. Red arrow: Medullary carcinoma (Courtesy Dr. V. Penopoulos)

Cervical ultrasound. Green arrow: Papillary carcinoma. Red arrow: Medullary carcinoma (Courtesy Dr. V. Penopoulos)

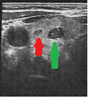
Green outline: Papillary carcinoma of the right thyroid lobe. Blue outline: Medullary carcinoma of the left thyroid lobe (Courtesy Dr. V. Penopoulos)

Type III. Green arrows: Sectioned papillary carcinoma of the right thyroid lobe. Blue arrow: Medullary carcinoma of the right thyroid lobe. The two cancers are clearly separated by normal thyroid parenchyma (Courtesy Dr. V. Penopoulos)

The whole-body scintigraphy (Octreoscan) also revealed another focus in the thyroid gland, which was due to a known benign nodule of the organ (Courtesy Dr. V. Penopoulos)

The whole-body scintigraphy (Octreoscan) also revealed another focus in the thyroid gland, which was due to a known benign nodule of the organ (Courtesy Dr. V. Penopoulos)

Whole-body scintigraphy (Octreoscan). The pathological focus at the root of the mesentery is clearly visible (Courtesy Dr. V. Penopoulos)

CT scan, 13 years after the initial identification of a non-functional incidentaloma of the right adrenal gland. Presence of a heterogeneous tumor – adrenocortical carcinoma of the right adrenal gland (Courtesy Dr. V. Penopoulos)

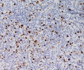
Ki-67+ > 4%: immunohistochemical staining for Ki-67 highlights the high mitotic index in the atypical parathyroid adenoma (Courtesy Dr. V. Penopoulos)

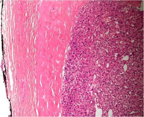
Thick capsule. A characteristic feature of both atypical parathyroid adenoma and parathyroid carcinoma (Courtesy Dr. V. Penopoulos)

Ki-67+ > 4%: immunohistochemical staining for Ki-67 highlights the high mitotic index in the atypical parathyroid adenoma (Courtesy Dr. V. Penopoulos)

Nuclear pleomorphism. Characteristic dosimetry and hyperchromasia of the nuclei of the neoplastic cells in the context of an atypical parathyroid adenoma (Courtesy Dr. V. Penopoulos)

Cross section of the surgical specimen. Areas of necrosis are evident (Courtesy Dr. V. Penopoulos)

Identification and protection of the recurrent laryngeal nerve. Outline of the nerve — application of the nerve stimulator (Courtesy Dr. V. Penopoulos)

Green arrow — Papillary carcinoma of the isthmus. Small red arrows — Scattered foci distributed in a radial pattern around the central lesion (Courtesy Dr. V. Penopoulos)

Autotransplantation of diffusely hyperplastic parathyroid tissue fragments into the right sternocleidomastoid muscle in two separately marked pockets (Courtesy Dr. V. Penopoulos)

Autotransplantation of diffusely hyperplastic parathyroid tissue fragments into the right sternocleidomastoid muscle in two separately marked pockets (Courtesy Dr. V. Penopoulos)

Autotransplantation of diffusely hyperplastic parathyroid tissue fragments into the right sternocleidomastoid muscle in two separately marked pockets (Courtesy Dr. V. Penopoulos)

Total parathyroidectomy. Excision of a 5th ectopic parathyroid gland located in a left para-esophageal position (Courtesy Dr. V. Penopoulos)

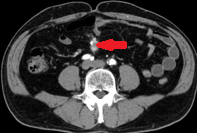
Abdominal computed tomography. Red arrows — neoplasm of the ampulla of Vater (Courtesy Dr. V. Penopoulos)

Neck ultrasound. Well-circumscribed nodule corresponding to ectopic thyroid (Courtesy Dr. V. Penopoulos)

Thyroid scintigraphy with technetium-99m. Ectopic thyroid (Courtesy Dr. V. Penopoulos)

Abdominal computed tomography. Red arrows — neoplasm of the ampulla of Vater (Courtesy Dr. V. Penopoulos)

Total thyroidectomy surgical specimen. Green arrows — Papillary carcinoma. Purple arrows — Infiltrated microscopic lymph nodes of the isthmus (Courtesy Dr. V. Penopoulos)
Thyroid
(0 images)No images in this chapter yet.
Adrenals
(0 images)No images in this chapter yet.































































































































