Peritoneum
Περιτοναίο
98 images

Demonstration of oncocytoma within a stroma of loose, paucicellular connective tissue (Courtesy Dr. V. Penopoulos)

Oncocytoma, with a solid growth pattern, composed of polygonal cells, with dense granular eosinophilic cytoplasm (Courtesy Dr. V. Penopoulos)

Surgical specimen. Complete resection of the tumor together with a segment of rectum (Courtesy Dr. V. Penopoulos)

Surgical specimen. Complete resection of the tumor together with a segment of rectum (Courtesy Dr. V. Penopoulos)

Surgical specimen. Complete resection of the tumor together with a segment of rectum (Courtesy Dr. V. Penopoulos)

Renal oncocytoma with the characteristic central stellate scar of the neoplasm (Courtesy Dr. V. Penopoulos)

Surgical specimen. Complete resection of the tumor together with a segment of rectum (Courtesy Dr. V. Penopoulos)

Right orchiectomy specimen. Atrophy of the testicular parenchyma is evident (Courtesy Dr. V. Penopoulos)

Right orchiectomy specimen. Atrophy of the testicular parenchyma is evident (Courtesy Dr. V. Penopoulos)

Right orchiectomy specimen. Atrophy of the testicular parenchyma is evident (Courtesy Dr. V. Penopoulos)

Evident dilation of the left ureter -- yellow outline. Green outline -- Chordoma (Courtesy Dr. V. Penopoulos)

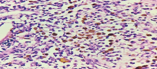
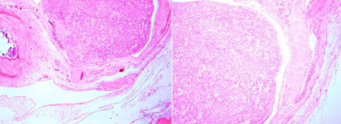
a) Presence of many macrophages containing hemosiderin, cholesterol clefts, mixed with inflammatory cells and cellular debris. b) Presence of fibrocollagenous capsule and intraluminal necrosis (Courtesy Dr. V. Penopoulos)

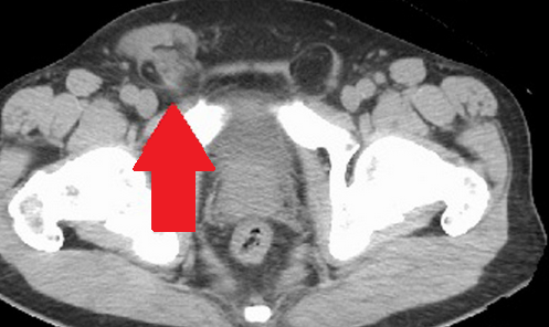
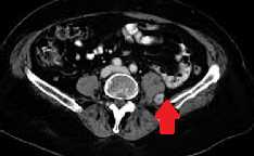
Abdominal CT scan after 2 years. Red arrow – Small remnant of the neoplasm. Green arrow – Small bowel loops (Courtesy Dr. V. Penopoulos)

a) Presence of many macrophages containing hemosiderin, cholesterol clefts, mixed with inflammatory cells and cellular debris. b) Presence of fibrocollagenous capsule and intraluminal necrosis (Courtesy Dr. V. Penopoulos)

MRI of the retroperitoneum. Red arrow — metastatic lesion in the left psoas muscle (Courtesy Dr. V. Penopoulos).

Surgical specimen of the metastatic lesions of the left psoas muscle (Courtesy Dr. V. Penopoulos).

Colposcopy. Red arrow. Evident erosion and protrusion of the mesh from the vaginal vault (Courtesy Dr. V. Penopoulos)

Colposcopy. Red arrow. Evident erosion and protrusion of the mesh from the vaginal vault (Courtesy Dr. V. Penopoulos)

Colposcopy. Red arrow. Evident erosion and protrusion of the mesh from the vaginal vault (Courtesy Dr. V. Penopoulos)

Post radiotherapy treatment I . V . Pyelography . Bilateral Ureteral Stenosis and Hydronephrosis (Courtesy Dr. V. Penopoulos)

Abdomino-perineal excision for ultra low rectal carcinoma (Courtesy Dr. V. Penopoulos)

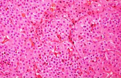
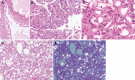
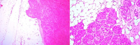
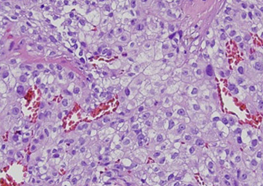
Acquired cystic disease-associated renal cell carcinoma. The tumor cells in acquired cystic disease-associated renal cell carcinoma typically have abundant eosinophilic cytoplasm and are seen lining the cystic spaces (Courtesy Dr. V. Penopoulos)

Both cystadenomas were excised with preservation of both ovaries (Courtesy Dr. V. Penopoulos)

The Huge Ovarian Cystadenomas delivered from the abdominal cavity (Courtesy Dr. V. Penopoulos)

Largely distended abdomen thought to be secondary to dysmenorrhea is evident (Courtesy Dr. V. Penopoulos)

Yellow outline: released right ureter. Green outline: sutured vaginal stump (Courtesy Dr. V. Penopoulos)

Yellow outline: released right ureter. Green outline: sutured vaginal stump (Courtesy Dr. V. Penopoulos)

D2-40 stain. The lining cells of the cyst wall were positive for calretinin and negative for D2-40 (Courtesy Dr. V. Penopoulos)

D2-40 stain. The lining cells of the cyst wall were positive for calretinin and negative for D2-40 (Courtesy Dr. V. Penopoulos)

Yellow outline: released right ureter. Green outline: sutured vaginal stump (Courtesy Dr. V. Penopoulos)

Yellow outline: released right ureter. Green outline: sutured vaginal stump (Courtesy Dr. V. Penopoulos)

Yellow outline: released right ureter. Green outline: sutured vaginal stump (Courtesy Dr. V. Penopoulos)

Yellow outline: released right ureter. Green outline: sutured vaginal stump (Courtesy Dr. V. Penopoulos)

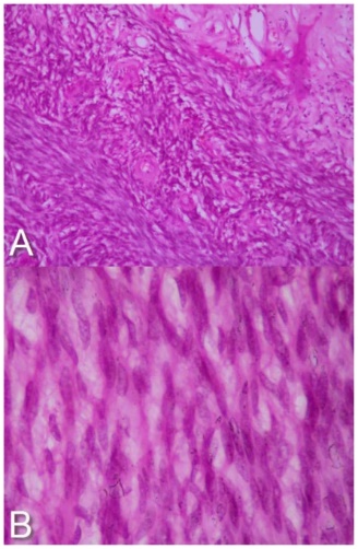
A: Palisading of the nuclei with hyaline thickening of the blood vessel. B: Microphotograph showing tumor composed of fibrohyalinized collagenous tissue with overlying Schwann cells in hyper cellular areas

After opening of the specimen, the peripheral solid component and the central cystic component are demonstrated (blue arrow) (Courtesy Dr. V. Penopoulos)

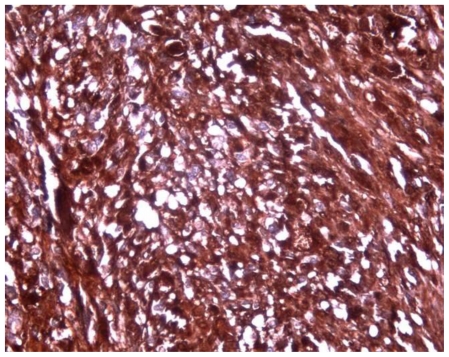
Characteristic Antoni A and Antoni B areas, indicative of a benign schwannoma (Courtesy Dr. V. Penopoulos)

Characteristic Antoni A and Antoni B areas, indicative of a benign schwannoma (Courtesy Dr. V. Penopoulos)

Characteristic Antoni A and Antoni B areas, indicative of a benign schwannoma (Courtesy Dr. V. Penopoulos)

The cystic part of the tumor contained a pale-yellow, thin fluid, odorless and sterile (Courtesy Dr. V. Penopoulos)

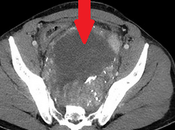
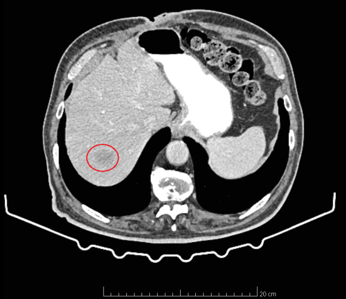
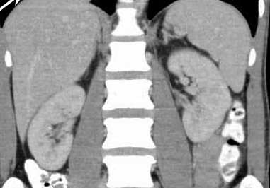
CT of the upper abdomen. Solitary metastatic focus in segment VII of the liver (Courtesy Dr. V. Penopoulos)

Low anterior resection of the rectum – Total mesorectal excision (Courtesy Dr. V. Penopoulos)

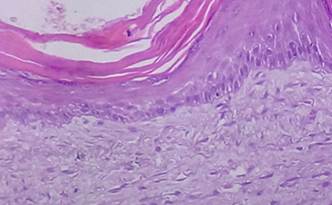
Histological image. Presence of stratified squamous epithelium without finding of skin adnexal structures (Courtesy Dr. V. Penopoulos)























































