ΧΥΛΩΔΗΣ ΑΣΚΙΤΗΣ-NISSEN
Novel Management of Chylous Ascites Following Laparoscopic Nissen Fundoplication
Περίληψη
The development of chylous ascites is a rare complication following laparoscopic Nissen fundoplication. This case highlights the importance of strict adherence to the surgical principles required during this particular operation, in order to minimize the likelihood of iatrogenic injuries that may lead to significant morbidity.
Nevertheless, should this particular complication arise, transabdominal glue embolization constitutes a safe and effective method for the management of thoracic duct injury, when conservative efforts have failed.
Εισαγωγή
ΠΡΩΤΟΤΥΠΗ ΑΝΤΙΜΕΤΩΠΙΣΗ ΧΥΛΩΔΟΥΣ ΑΣΚΙΤΗ ΜΕΤΑ ΛΑΠΑΡΟΣΚΟΠΙΚΗ ΘΟΛΟΠΤΥΧΩΣΗ ΚΑΤΑ NISSEN .
Ο χυλώδης ασκίτης , είναι μια σπάνια και απαιτητική επιπλοκή , η οποία είναι δυνατόν να προκληθεί από τραυματισμούς της κοιλίας , νεοπλάσματα , φλεγμονώδεις καταστάσεις και ως επακόλουθο διάφορων χειρουργικών επεμβάσεων . Ο ιατρογενής τραυματισμός συνήθως λαμβάνει χώρα , όταν εκτελείται παρασκευή πλησίον της βάσης του μεσεντερίου , στο οπισθοπεριτόναιο ή στην χυλοφόρο δεξαμενή του Pecquet , με αποτέλεσμα τον τραυματισμό / την βλάβη των κοιλιακών λεμφαγγείων . Η εκτέλεση λαπαροσκοπικής θολοπτύχωσης κατά Nissen , δυνατόν να προκαλέσει τον τραυματισμό των λεμφαγγείων , αν και έχουν ανακοινωθεί ελάχιστες περιπτώσεις στην διεθνή βιβλιογραφία . Όλες οι περιπτώσεις , αντιμετωπίστηκαν με συμβατικές συντηρητικές μεθόδους , δηλαδή την διακοπή σίτισης , την χορήγηση εντερικής ή ολικής παρεντερικής διατροφής και επί αποτυχίας την διακοιλιακή χειρουργική απολίνωση του τραυματισμένου λεμφαγγείου . Η χρήση του εμβολισμού του τραυματισθέντος λεμφαγγείου με κόλλα , για την αντιμετώπιση ενός χυλοθώρακα , ανακοινώνεται πλέον συχνά στην διεθνή βιβλιογραφία . Μολονότι εντοπίζεται σε διαφορετική ανατομική θέση ο χυλώδης ασκίτης , είναι δυνατόν να θεραπευθεί/αντιμετωπιστεί με τον ίδιο τρόπο , διακοιλιακά εμβολίζοντας το τραυματισμένο λεμφαγγείο εγγύς του σημείου της διαρροής . Περιγράφουμε την περίπτωση ενός ασθενούς , ο οποίος υποβλήθηκε σε λαπαροσκοπική θολοπτύχωση κατά Nissen σε άλλο νοσηλευτικό ίδρυμα , για την αντιμετώπιση γαστρο-οισοφαγικής παλινδρόμησης και διακομίστηκε μετεγχειρητικά στην Κλινική μας , για την αντιμετώπιση ενός εμμένοντος χυλώδους ασκίτη , ο οποίος δεν ανταποκρίθηκε στην συντηρητική θεραπεία . Εξ’ όσων είμαστε σε θέση να γνωρίζουμε , η συγκεκριμένη τεχνική έχει σπανιότατα χρησιμοποιηθεί για την αντιμετώπιση των λεμφαγγειακών τραυματισμών .
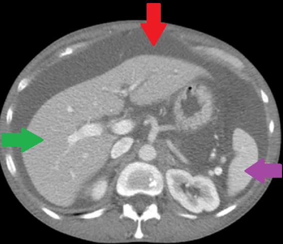
Ένας 46χρονος ασθενής , με μακροχρόνιο πρόβλημα γαστρο-οισοφαγικής παλινδρόμησης , ανθεκτικής στην συντηρητική θεραπεία , υποβλήθηκε σε λαπαροσκοπική θολοπτύχωση κατά Nissen , σε άλλο νοσοκομείο της πόλης μας . Κατά δήλωση του , η όλη διαδικασία εξελίχθηκε ομαλά και έλαβε εξιτήριο 2 ημέρες αργότερα . Μετά την παρέλευση 20ημέρου , ο ασθενής προσήλθε στο Τμήμα Επειγόντων Περιστατικών του Νοσοκομείου μας , βαριά αφυδατωμένος με κλινικά και εργαστηριακά ευρήματα νεφρικής ανεπάρκειας προνεφρικής αιτιολογίας . Από την λήψη του ιστορικού , προέκυψε πως άρχισε να βήχει επίμονα και να δυσκολεύεται στην αναπνοή τις τελευταίες 4 ημέρες. Η κλινική εξέταση ανέδειξε μεγάλη διάταση της κοιλίας συνοδευόμενη από διάχυτη ευαισθησία ενώ η αξονική τομογραφία θώρακος και κοιλίας , αποκάλυψε την παρουσία πλευριτικών συλλογών αμφοτερόπλευρα και ασκιτικού υγρού στην περιτοναική κοιλότητα . Εικόνα 1 . Αξονική Τομογραφία θώρακος – Αμφοτερόπλευρη παρουσία πλευριτικών συλλογών . ( Αρχείο κος Β . Πενόπουλος ) . Εικόνα 2 . Αξονική Τομογραφία κοιλίας . Κόκκινο βέλος – Ασκίτης . Μώβ βέλος – Σπλήνας . Πράσινο βέλος – Ήπαρ . ( Αρχείο κος Β . Πενόπουλος ) . Παρακεντήσαμε τόσο τις πλευριτικές συλλογές , όσο και τον ασκίτη και ζητήσαμε βιοχημικό έλεγχο , ο οποίος ανέδειξε υψηλά επίπεδα λευκώματος και τριγλυκεριδίων σε όλα τα δείγματα ( 154 mg/dL ) . Με το εύρημα αυτό , θέσαμε την διάγνωση του αμφοτερόπλευρου χυλοθώρακα και του χυλώδους ασκίτη . Κατόπιν τούτου , ο ασθενής διακομίστηκε στην Θωρακο-χειρουργική Κλινική , όπου τοποθετήθηκαν θωρακο-σωλήνες αμφοτερόπλευρα και παροχετεύτηκαν 1.2 λίτρα χυλώδους περιεχομένου από αμφότερες τις θωρακικές κοιλότητες . Η σίτιση από του στόματος διεκόπη και ο ασθενής έλαβε ενδοφλεβίως ολική παρεντερική διατροφή και σωματοστατίνη . Παρά την συντηρητική αγωγή , η διαρροή του χυλού συνεχίστηκε , οπότε λόγω αδυναμίας εντοπισμού του σημείου του τραυματισμού , αποφασίστηκε και εκτελέστηκε απολίνωση του θωρακικού πόρου , μεταξύ της αορτής και της αζύγου φλεβός στο επίπεδο μεταξύ 8ης και 9ης πλευράς δεξιά . Δυστυχώς , παρά την επιτυχή επέμβαση , η διαρροή συνεχίστηκε και ζητήθηκε εκ νέου η συμβολή μας στην επίλυση του προβλήματος . Μετά την μεταφορά στην κλινική μας , αποφασίσαμε και εκτελέσαμε διποδική λεμφαγγειογραφία , η οποία ανέδειξε εκτεταμένη διαρροή από τον θωρακικό πόρο στο ύψος του Τ9 και συγκέντρωση του στο αριστερό υποχόνδριο . Εικόνα 3 . Λεμφαγγειογραφία . Κόκκινο βέλος – Σημείο τραυματισμού . (Αρχείο κος Β . Πενόπουλος) . Με την συνδρομή του επεμβατικού ακτινολόγου , επετεύχθη ο καθετηριασμός του θωρακικού πόρου , κάτωθεν του σημείου της διαρροής και ο εμβολισμός με κόλλα N-butyl- cyanoacrylate . Εικόνα 4 . Καθετηριασμός θωρακικού πόρου και έγχυση κόλλας . Η παρέμβαση ήταν απολύτως επιτυχής και είχε σαν αποτέλεσμα την σταδιακή μείωση των εξερχόμενων ποσοτήτων από τις θωρακικές παροχετεύσεις όσο και της περιμέτρου της κοιλίας . Μετά την πλήρη αποστράγγιση τους , οι θωρακοσωλήνες αφαιρέθηκαν και ο ασθενής ελεύθερος συμπτωμάτων , επανήλθε στην σίτιση από του στόματος . Εξήλθε του Νοσοκομείου , λίγες ημέρες αργότερα και μετά παρέλευση 6μήνου , ήταν ελεύθερος συμπτωμάτων , σιτίζονταν ελεύθερα από του στόματος , είχε πετύχει σημαντική απώλεια βάρους , η περίμετρος της κοιλίας του είχε επανέλθει στα φυσιολογικά επίπεδα και δεν υπήρχαν ευρήματα που να συνηγορούν στην υποτροπή του χυλώδους ασκίτη .
Παρουσίαση Περιστατικού
H εκτέλεση λαπαροσκοπικής θολοπτύχωσης κατά Nissen , αποτελεί πλέον την μέθοδο εκλογής , για την αντιμετώπιση της γαστρο-οισοφαγικής παλινδρομικής νόσου . Οι συχνότερες επιπλοκές της μεθόδου είναι , ο πνευμοθώρακας , το πνευμο-μεσοθωράκιο , η διάτρηση του οισοφάγου , η διάτρηση του στομάχου , η αιμορραγία και η θρόμβωση της μεσεντερίου φλέβας . Η ανάπτυξη χυλώδους ασκίτη , αναφέρεται ως εξαιρετικά σπάνιο σύμβαμα , καθώς παρατηρείται συχνότερα στην εκτέλεση λεμφαδενεκτομών , παγκρεατο12δακτυλεκτομών , περιφερικών σπληνο-νεφρικών παρακάμψεων και χειρουργικών επεμβάσεων στην αορτή . Η ανατομία του θωρακικού πόρου και η σχέση του με τον οισοφάγο και τον στόμαχο , καθιστούν σπάνια την εμφάνιση αυτής της επιπλοκής , εφ’ όσον η επέμβαση εκτελεστεί με ασφάλεια και την ενδεδειγμένη προσοχή . Ο θωρακικός πόρος , είναι το μεγαλύτερο λεμφικό κανάλι του σώματος . Εκτός από τις περιοχές της δεξιάς κεφαλής , του τραχήλου , των άνω άκρων και του θώρακα , ο «δίαυλος» αυτός είναι υπεύθυνος για την παροχέτευση της λέμφου από το υπόλοιπο σώμα . Σχηματική παράσταση θωρακικού πόρου . Η ροή ξεκινά , στο ύψος της χυλοφόρου δεξαμενής εντός της κοιλίας , ενεργώντας ως ένα σημείο συμβολής/συρροής άλλων μικρότερων λεμφαγγείων , προερχόμενων από την οσφύ , το έντερο , το ήπαρ και τις κάτω μεσοπλεύριες πηγές , που εντοπίζονται μεταξύ της κοιλιακής αορτής και της αζύγου φλέβας . Πορεύεται όπισθεν του δεξιού σκέλους του διαφράγματος , κατά μήκος του δεξιού οπίσθιου μεσοθωρακίου με τελικό προορισμό εγγύς της συμβολής της αριστερής υποκλειδίου φλέβας με την αριστερή έσω σφαγίτιδα φλέβα . Η αληθής παρουσία χυλοφόρου δεξαμενής , ανευρίσκεται μόνο στο 50% των ατόμων , ενώ στους υπόλοιπους που απουσιάζει , αυτή η ανατομική συμβολή , αντικαθίσταται από μικρότερα λεμφικά κανάλια της κοιλίας και των κάτω άκρων , τα οποία καταλήγουν απ’ ευθείας στον θωρακικό πόρο . Η ανατομική πορεία του θωρακικού πόρου , σε σχέση με τον οισοφάγο , αναδεικνύει/υπαγορεύει την σπανιότητα με την οποία θα έπρεπε να συμβαίνει αυτός ο τραυματισμός , κατά την εκτέλεση της λαπαροσκοπικής θολοπτύχωσης κατά Nissen , εάν πραγματοπείται με την προσήκουσα προσοχή . Όμως υπάρχουν δύο βήματα κατά την διάρκεια της εγχείρησης τα οποία αξίζουν ιδιαίτερης προσοχής . 1ο χρειάζεται ιδιαίτερη επιμέλεια κατά την είσοδο στο οπισθοπεριτόναιο επί τα έσω του δεξιού σκέλους του διαφράγματος , όταν διανοίγεται το οπισθο-οισοφαγικό «παράθυρο» πριν από το τελικό πέρασμα του θόλου του στομάχου .Αυτό το βήμα είναι κρίσιμο , καθώς εκτίθενται λεμφικά κανάλια , με αποτέλεσμα να είναι επιρρεπή σε τραυματισμούς ή θερμικές βλάβες από την χρήση της διαθερμίας , εάν η οπισθο-οισοφαγική παρασκευή επεκταθεί πολύ προς τα πίσω . Το 2ο βήμα , το οποίο καθιστά τον θωρακικό πόρο ευένδοτο σε τραυματισμούς είναι η στιγμή της επαναπροσέγγισης των δύο σκελών του διαφράγματος , καθώς είναι δυνατόν να επέλθει απόφραξη του πόρου κατά την διάρκεια αυτού του χειρισμού . Στην περίπτωση που ανακοινώνουμε , είναι μάλλον εμφανές ότι ο τραυματισμός έγινε με τον 1ο μηχανισμό , καθώς η λεμφαγγειογραφία ανέδειξε την διαρροή λέμφου από τον πόρο εντός της περιτοναικής κοιλότητας . Αυτή η επιπλοκή θα μπορούσε να αποφευχθεί , εάν η παρασκευή στην οπίσθια επιφάνεια του οισοφάγου γινόταν στο ορθό πλάνο/επίπεδο . Η μετεγχειρητική εμφάνιση αυτής της επιπλοκής , αντιμετωπίζεται αρχικά συντηρητικά , με την χειρουργική παρέμβαση να εστιάζεται στις δυσίατες/ανθεκτικές περιπτώσεις . Η συντηρητική αντιμετώπιση πρώτης γραμμής , περιλαμβάνει διαιτητικές αλλαγές , όπως η λήψη δίαιτας με χαμηλά λιπαρά ( μακράς αλύσου τριγλυκερίδια ) ή εναλλακτικά πλήρη διακοπή της σίτισης από το στόμα και χορήγηση ενδοφλεβίως ολικής παρεντερικής διατροφής . Οι περισσότερες περιπτώσεις ανάπτυξης χυλώδους ασκίτη μετά από λαπαροσκοπική θολοπτύχωση κατά Nissen , αντιμετωπίζονται επιτυχώς , μόνο με την αλλαγή της δίαιτας . Άλλες περιπτώσεις , που αποδίδονται σε άλλες αιτιολογίες , αντιμετωπίστηκαν φαρμακευτικά με την χορήγηση σωματοστατίνης ή/και οκτρεοτίδης . Η χειρουργική παρέμβαση ενδείκνυται , στις εμμένουσες περιπτώσεις , με διατήρηση των συμπτωμάτων παρά τους διαιτητικούς περιορισμούς και την επιδείνωση της γενικής κατάστασης των ασθενών . Στην περίπτωση του ασθενούς μας , παρά την αποτυχία των συντηρητικών και χειρουργικών μεθόδων , αντιμετωπίσαμε τελικά το πρόβλημα του τραυματισμού του πόρου , με τον μη συμβατικό τρόπο εμβολισμού , με λεμφαγγειακή κόλλα . Η λεμφαγγειογραφία , αποτελεί την εξέταση εκλογής , για την απεικόνιση του λεμφικού συστήματος . Η τεχνική αυτή , εντοπίζει επακριβώς το σημείο του τραυματισμού και επιτρέπει τον αποκλεισμό της διαρροής , εμβολίζοντας τον πόρο , με λεμφαγγειακή κόλλα . Η ουσία που χρησιμοποιήθηκε , έχει το χαρακτηριστικό ότι κολλάει γρήγορα και αποτελεσματικά , πολυμερίζεται ερχόμενη σε επαφή με ανιονικές ουσίες , όπως το πλάσμα , τα κύτταρα του αίματος , το ενδοθήλιο ή τον φυσιολογικό ορό , προκαλώντας μια τοπική φλεγμονώδη αντίδραση , με τελικό αποτέλεσμα την ίνωση . Η τεχνική αυτή , περιγράφηκε για πρώτη φορά από τον Cope et al , το 1998. Σε μία σειρά 42 ασθενών , ο συγγραφέας , κατέδειξε ότι είναι μια ασφαλής και αποτελεσματική μέθοδος για την οριστική ή μερική επίλυση/αντιμετώπιση του προβλήματος στο 74% των ασθενών με ανθιστάμενους χυλοθώρακες . Μολονότι έχει χρησιμοποιηθεί κυρίως , για την αντιμετώπιση χυλοθωράκων , η εφαρμογή της τεχνικής είναι ίδια και στην περίπτωση της παρουσίας λεμφόρροιας στην περιτοναική κοιλότητα . Ο θωρακικός πόρος παρακεντάται διακοιλιακά στο ύψος της χυλοφόρου δεξαμενής , υπό συνεχή ακτινοσκοπικό έλεγχο και στην συνέχεια εκτελείται εμβολισμός πριν από το σημείο του τραυματισμού , στην κοιλία ή στον θώρακα .
Συζήτηση
Η εμφάνιση χυλώδους ασκίτη , συνιστά μια σπάνια επιπλοκή , μετά την εκτέλεση λαπαροσκοπικής θολοπτύχωσης κατά Nissen . Η περίπτωση αυτή , αναδεικνύει την σημασία διατήρησης/προσήλωσης στις αρχές της χειρουργικής , που απαιτούνται κατά την εκτέλεση της συγκεκριμένης επέμβασης , προκειμένου να μειωθούν στο ελάχιστο οι πιθανότητες ιατρογενών τραυματισμών , που μπορεί να οδηγήσουν σε σημαντική νοσηρότητα . Πάντως , εάν προκληθεί η συγκεκριμένη επιπλοκή , ο διακοιλιακός εμβολισμός με κόλλα , αποτελεί μια ασφαλή και αποτελεσματική μέθοδο για την αντιμετώπιση του τραυματισμού του θωρακικού πόρου , εάν αποτύχουν οι συντηρητικές προσπάθειες .
Συμπεράσματα
The development of chylous ascites constitutes a rare complication following laparoscopic Nissen fundoplication. This case highlights the importance of adherence to the surgical principles required during the performance of this particular procedure, in order to minimize the chances of iatrogenic injuries that may lead to significant morbidity.
Nevertheless, should this specific complication occur, transabdominal glue embolization constitutes a safe and effective method for managing thoracic duct injury if conservative efforts fail.
Βασικά Σημεία Μάθησης
- Chylous ascites is a rare complication of laparoscopic Nissen fundoplication caused by lymphatic vessel injury during hiatal dissection
- Conservative management (NPO, TPN, octreotide) should be the first-line treatment for postoperative chylous ascites
- Percutaneous transabdominal lymphatic embolization with cyanoacrylate glue is a viable minimally invasive alternative when conservative measures fail
- Lymphoscintigraphy and MR lymphangiography are essential for localizing the site of lymphatic leakage
- This novel approach avoids the morbidity of surgical re-exploration while achieving definitive treatment
Chylous ascites as a complication of laparoscopic Nissen fundoplication is very rarely reported in the international literature.
Συνδεθείτε για να σχολιάσετε
Φόρτωση...




