Σπάνια Σύνδρομα & Συστηματικά
105 εικόνες

Οισοφαγοστομία. Αποκλεισμός κατώτερου οισοφάγου (Ευγενική παραχώρηση Dr. V. Penopoulos)

Οισοφαγοστομία. Αποκλεισμός κατώτερου οισοφάγου (Ευγενική παραχώρηση Dr. V. Penopoulos)

Άνω γαστρεντερική ενδοσκόπηση. Διάτρηση οισοφάγου (Ευγενική παραχώρηση Dr. V. Penopoulos)

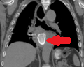
CT θώρακα. Αμφοτερόπλευρες υπεζωκοτικές συλλογές, εντονότερες αριστερά (Ευγενική παραχώρηση Dr. V. Penopoulos)

Οισοφαγοστομία. Αποκλεισμός κατώτερου οισοφάγου (Ευγενική παραχώρηση Dr. V. Penopoulos)

Οισοφαγοστομία. Αποκλεισμός κατώτερου οισοφάγου (Ευγενική παραχώρηση Dr. V. Penopoulos)

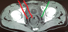
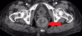
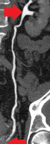
Μακροσκοπική εικόνα εμφύτευσης αριστερού ουρητήρα (Ευγενική παραχώρηση Dr. V. Penopoulos)

Πράσινο βέλος – Νεόπλασμα Brenner. Μπλε βέλη – Ινομυώματα μήτρας (Ευγενική παραχώρηση Dr. V. Penopoulos)

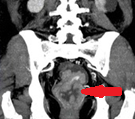
Διάταση αριστερού ουρητήρα λόγω παρουσίας πιθανής εμφύτευσης (Ευγενική παραχώρηση Dr. V. Penopoulos)

Πυελικό υπερηχογράφημα – Απλή κύστη αριστερής ωοθήκης (Ευγενική παραχώρηση Dr. V. Penopoulos)

Μακροσκοπική εικόνα δεξιού εξαρτήματος – Καλοήθες νεόπλασμα Brenner (Ευγενική παραχώρηση Dr. V. Penopoulos)

Κόκκινα βέλη. Παχυσμένο τοίχωμα ορθού. Πράσινο βέλος. Περιτονία του μυός ανελκτήρα του πρωκτού (Ευγενική παραχώρηση Dr. V. Penopoulos)

MRI οσφυοϊερής μοίρας. Αέρας είναι σαφώς ορατός εντός του σπονδυλικού σωλήνα (Ευγενική παραχώρηση Dr. V. Penopoulos)

Απλές ακτινογραφίες κάτω άκρων, γονάτων και σφυρών. Ορατές ουσιώδεις ασβεστώσεις στην οπίσθια κνημιαία αρτηρία και ένα δίκτυο μικρών αγγείων στην οπισθοσφυρική περιοχή. Στα γόνατα, το αρθρικό διάστημα παρουσίαζε εμφανή ασβέστωση μικρών αγγείων. (Ευγενική παραχώρηση Dr. V. Penopoulos).

Βλάβη ασβεστυλοφυλαξίας στη δεξιά γαστροκνημία. (Ευγενική παραχώρηση Dr. V. Penopoulos).

Απλές ακτινογραφίες κάτω άκρων, γονάτων και σφυρών. Ορατές ουσιώδεις ασβεστώσεις στην οπίσθια κνημιαία αρτηρία και ένα δίκτυο μικρών αγγείων στην οπισθοσφυρική περιοχή. Στα γόνατα, το αρθρικό διάστημα παρουσίαζε εμφανή ασβέστωση μικρών αγγείων. (Ευγενική παραχώρηση Dr. V. Penopoulos).

Απλές ακτινογραφίες κάτω άκρων, γονάτων και σφυρών. Ορατές ουσιώδεις ασβεστώσεις στην οπίσθια κνημιαία αρτηρία και ένα δίκτυο μικρών αγγείων στην οπισθοσφυρική περιοχή. Στα γόνατα, το αρθρικό διάστημα παρουσίαζε εμφανή ασβέστωση μικρών αγγείων. (Ευγενική παραχώρηση Dr. V. Penopoulos).

Η αξονική αγγειογραφία αποκάλυψε διάχυτες ασβεστώσεις του αγγειακού τοιχώματος και αθηροσκληρωτικές μεταβολές της κάτω κοιλιακής αορτής και των αμφοτερόπλευρων λαγόνιων αρτηριών, καθώς και έντονη ασβέστωση των μεγάλων και μικρών αρτηριών και των δύο κάτω άκρων. (Ευγενική παραχώρηση Dr. V. Penopoulos).

Η αξονική αγγειογραφία αποκάλυψε διάχυτες ασβεστώσεις του αγγειακού τοιχώματος και αθηροσκληρωτικές μεταβολές της κάτω κοιλιακής αορτής και των αμφοτερόπλευρων λαγόνιων αρτηριών, καθώς και έντονη ασβέστωση των μεγάλων και μικρών αρτηριών και των δύο κάτω άκρων. (Ευγενική παραχώρηση Dr. V. Penopoulos).

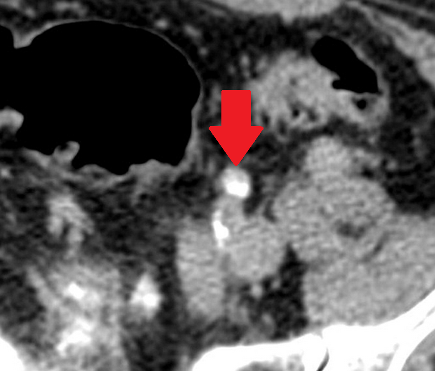
Σπινθηρογράφημα Sestamibi - Εκτεμνόμενο γιγαντιαίο αριστερό παραθυρεοειδικό αδένωμα. (Ευγενική παραχώρηση Dr. V. Penopoulos).

Σπινθηρογράφημα Sestamibi - Εκτεμνόμενο γιγαντιαίο αριστερό παραθυρεοειδικό αδένωμα. (Ευγενική παραχώρηση Dr. V. Penopoulos).

Σπινθηρογράφημα οστών – Παρουσία πολλαπλών οστεολυτικών εστιών (Ευγενική παραχώρηση Dr. V. Penopoulos)

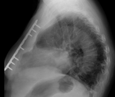
Μετεγχειρητική εικόνα επιδιόρθωσης κατάγματος στέρνου (Ευγενική παραχώρηση Dr. V. Penopoulos)

Σχήμα 1 . Τυπικές δυσπλασίες των χεριών του συνδρόμου Holt Oram . ( Ευγενική παραχώρηση Δρ. Β. Πενόπουλος ) .

Παρασκεύασμα δεξιάς ημικολεκτομής. Το ενσφηνωμένο βλεννοκοπρανώδες υλικό στον τελικό ειλεό είναι εμφανώς ορατό (Ευγενική παραχώρηση Dr. V. Penopoulos)

Παρασκεύασμα δεξιάς ημικολεκτομής. Το ενσφηνωμένο βλεννοκοπρανώδες υλικό στον τελικό ειλεό είναι εμφανώς ορατό (Ευγενική παραχώρηση Dr. V. Penopoulos)

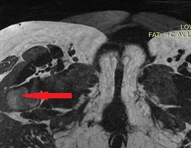
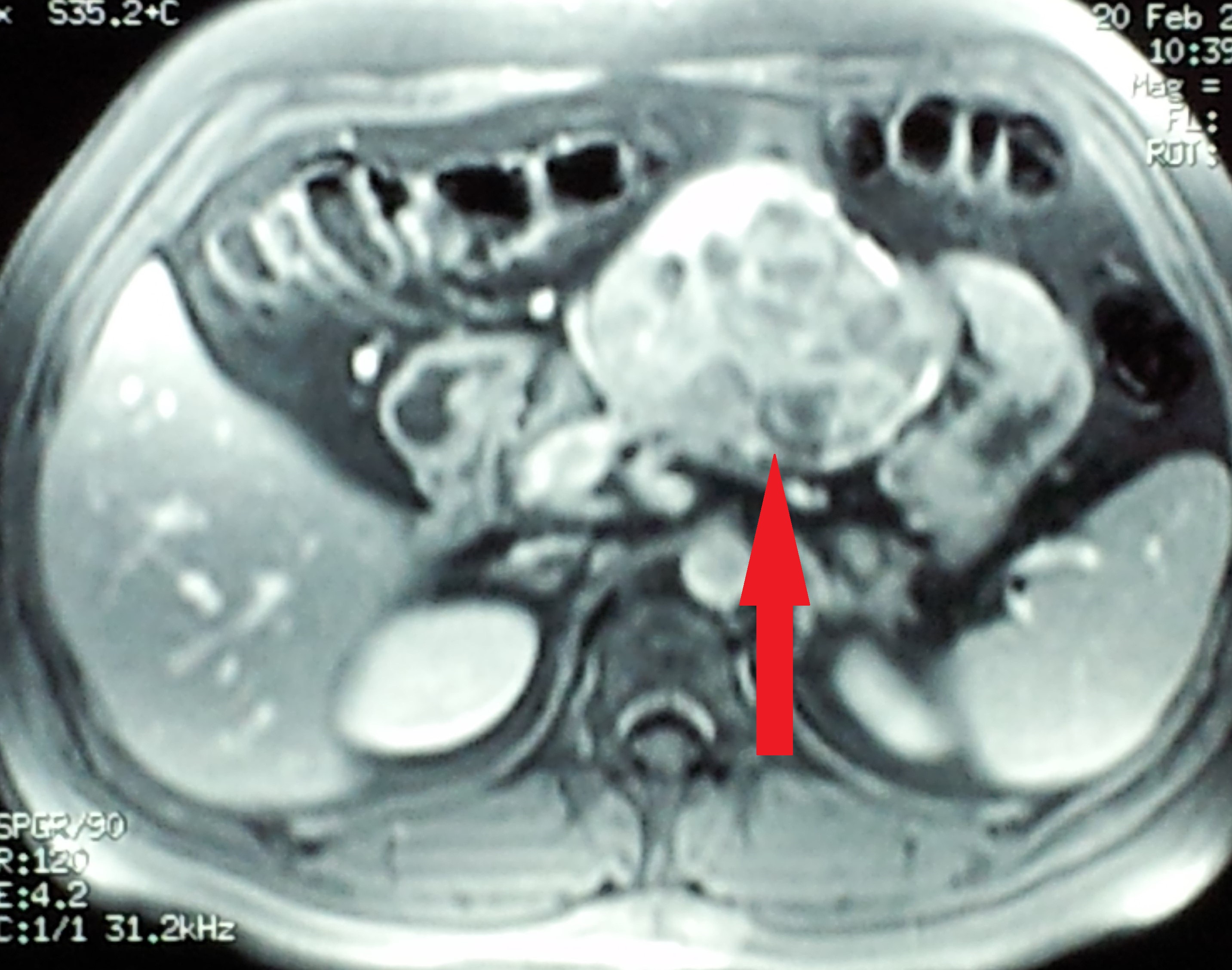
MRI κοιλίας που δείχνει το ευμεγέθες παραγαγγλίωμα στη ρίζα του μεσεντερίου (Ευγενική παραχώρηση Dr. V. Penopoulos)

MRI σπονδυλικής στήλης που δείχνει εξωσκληρίδια συμπίεση στο επίπεδο Θ8 (Ευγενική παραχώρηση Dr. V. Penopoulos).

Σχήμα 6 . Επαναληπτική αξονική τομογραφία κοιλίας . Σχηματισμός αποστήματος . ( Ευγενική παραχώρηση Δρ. Β. Πενόπουλος ) .

Σχήμα 4,5 . Pectus excavatum , striae atrophicae και προεξέχουσα σκολίωση . (Ευγενική παραχώρηση Δρ. Β. Πενόπουλος) .

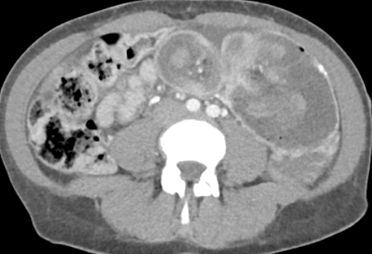
Σχήμα 3 . Αξονική τομογραφία κοιλίας . Οξεία σκωληκοειδίτιδα .( Ευγενική παραχώρηση Δρ. Β. Πενόπουλος ) .

Σχήμα 2 . Σοβαρό pes planus (talipes calcaneovalgus) .(Ευγενική παραχώρηση Δρ. Β. Πενόπουλος) .

Σχήμα 7 . Ανακατασκευή της μεσοπλεύριας αρτηρίας για την προστασία του νωτιαίου μυελού σε ασθενείς που υποβάλλονται σε εκτεταμένη αποκατάσταση ανευρύσματος θωρακοκοιλιακής αορτής ή αορτικού διαχωρισμού . ( θωρακοκοιλιακή τομή ) .( Ευγενική παραχώρηση Δρ. Β. Πενόπουλος ) .

Σχήμα 8 . Δείγμα σκωληκοειδεκτομής και κοπράνων που βρέθηκαν οπισθοπεριτοναϊκά . (Ευγενική παραχώρηση Δρ. Β. Πενόπουλος) .

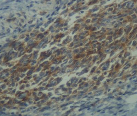
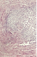
Ανοσοϊστοχημική εξέταση που καταδεικνύει θετικότητα CD10 εντός ενδομητρικών στρωματικών κυττάρων (Ευγενική παραχώρηση Dr. V. Penopoulos)

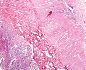
Εστία στρωματικής ενδομητρίωσης στο μυϊκό χιτώνα του ειλεού (Ευγενική παραχώρηση Dr. V. Penopoulos)

Παρασκεύασμα κοιλιοπερινεϊκής εκτομής ορθού. Διακρίνεται σχεδόν πλήρης κατάληψη του αυλού του ορθού, εκτεινόμενη έως την ορθοπρωκτική συμβολή, με συνοδό διήθηση των σφιγκτήρων (Ευγενική παραχώρηση Dr. V. Penopoulos)

Παρασκεύασμα κοιλιοπερινεϊκής εκτομής ορθού. Διακρίνεται σχεδόν πλήρης κατάληψη του αυλού του ορθού, εκτεινόμενη έως την ορθοπρωκτική συμβολή, με συνοδό διήθηση των σφιγκτήρων (Ευγενική παραχώρηση Dr. V. Penopoulos)

Παρασκεύασμα κοιλιοπερινεϊκής εκτομής ορθού. Διακρίνεται σχεδόν πλήρης κατάληψη του αυλού του ορθού, εκτεινόμενη έως την ορθοπρωκτική συμβολή, με συνοδό διήθηση των σφιγκτήρων (Ευγενική παραχώρηση Dr. V. Penopoulos)

Αφαιρεθέντες πολύποδες, ενδοσκοπικά και χειρουργικά (Ευγενική παραχώρηση Dr. V. Penopoulos)

Αφαιρεθέντες πολύποδες, ενδοσκοπικά και χειρουργικά (Ευγενική παραχώρηση Dr. V. Penopoulos)

Αφαιρεθέντες πολύποδες, ενδοσκοπικά και χειρουργικά (Ευγενική παραχώρηση Dr. V. Penopoulos)

Αφαιρεθέντες πολύποδες, ενδοσκοπικά και χειρουργικά (Ευγενική παραχώρηση Dr. V. Penopoulos)

Κλασική υπερηχογραφική εικόνα εντύλιξης λεπτού εντέρου (Ευγενική παραχώρηση Dr. V. Penopoulos)

Αφαιρεθέντες πολύποδες, ενδοσκοπικά και χειρουργικά (Ευγενική παραχώρηση Dr. V. Penopoulos)

Καλόηθης πολύποδας — κορυφαίο σημείο εντύλιξης (Ευγενική παραχώρηση Dr. V. Penopoulos)


























































