Κήλες
116 εικόνες · 2 υποκατηγορίες

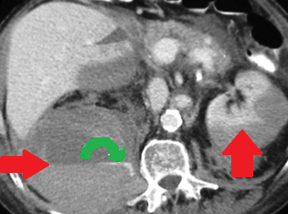
Αριστερό περινεφρικό αιμάτωμα και δεξιό αιμάτωμα λαγονοψοΐτη — αντιπηκτική αγωγή (Ευγενική παραχώρηση Dr. V. Penopoulos)

Αιμάτωμα ορθού κοιλιακού μυός — αντιπηκτική αγωγή (Ευγενική παραχώρηση Dr. V. Penopoulos)

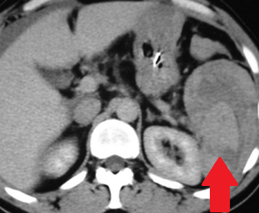
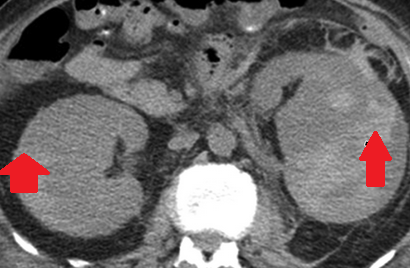
Αμφοτερόπλευρη αυτόματη νεφρική αιμορραγία — κοκκιωμάτωση Wegener (Ευγενική παραχώρηση Dr. V. Penopoulos)

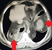
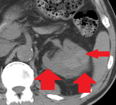
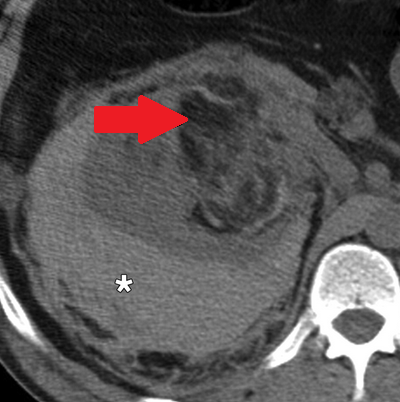
Αυτόματη ρήξη/αιμορραγία νεφρού — νεφροκυτταρικό καρκίνωμα (Ευγενική παραχώρηση Dr. V. Penopoulos)

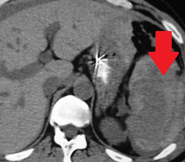
Αυτόματη ρήξη/αιμορραγία νεφρού — αγγειομυολίπωμα (Ευγενική παραχώρηση Dr. V. Penopoulos)

Χειρουργικά παρασκευάσματα εξαιρεθέντων ενδομητριωμάτων (Ευγενική παραχώρηση Dr. V. Penopoulos)

Χειρουργικά παρασκευάσματα εξαιρεθέντων ενδομητριωμάτων (Ευγενική παραχώρηση Dr. V. Penopoulos)

Χειρουργικά παρασκευάσματα εξαιρεθέντων ενδομητριωμάτων (Ευγενική παραχώρηση Dr. V. Penopoulos)

Αριστερή επινεφριδεκτομή μετά από αυτόματη αιμορραγία σε μεταμοσχευμένο αιματολογικό ασθενή (Ευγενική παραχώρηση Dr. V. Penopoulos)

Λεπτό έντερο ελεύθερο μετά από μεθοδική αδρανοποίηση συμφύσεων (Ευγενική παραχώρηση Dr. V. Penopoulos)

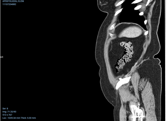
CT άνω κοιλίας με σκιαγραφικό που αναδεικνύει συστάδα διατεταμένων ελίκων λεπτού εντέρου στο κέντρο δίνοντας εικόνα κουνουπιδιού (βέλη) (Ευγενική παραχώρηση Dr. V. Penopoulos)

CT άνω κοιλίας με σκιαγραφικό που αναδεικνύει συστάδα διατεταμένων ελίκων λεπτού εντέρου στο κέντρο δίνοντας εικόνα κουνουπιδιού (βέλη) (Ευγενική παραχώρηση Dr. V. Penopoulos)

CT κοιλίας με σκιαγραφικό που αναδεικνύει το λεπτό έντερο στο κέντρο της κοιλίας εντός παχέος ινώδους υμένα (Ευγενική παραχώρηση Dr. V. Penopoulos)

CT κοιλίας. Πρόπτωση παχέος εντέρου διά του κατώτερου οσφυϊκού τριγώνου (Ευγενική παραχώρηση Dr. V. Penopoulos)

CT κοιλίας 1 (ένα) έτος μετά από χειρουργική επιδιόρθωση της οσφυϊκής κήλης. Πλήρης εξάλειψη του ελλείμματος (Ευγενική παραχώρηση Dr. V. Penopoulos)

CT κοιλίας 1 (ένα) έτος μετά από χειρουργική επιδιόρθωση της οσφυϊκής κήλης. Πλήρης εξάλειψη του ελλείμματος (Ευγενική παραχώρηση Dr. V. Penopoulos)

CT κοιλίας 1 (ένα) έτος μετά από χειρουργική επιδιόρθωση της οσφυϊκής κήλης. Πλήρης εξάλειψη του ελλείμματος (Ευγενική παραχώρηση Dr. V. Penopoulos)

Κλείσιμο του ελλείμματος με διακεκομμένες ράμματα Vicryl No. 2 χωρίς τάση (Ευγενική παραχώρηση Dr. V. Penopoulos)

Χειρουργικό παρασκεύασμα οπισθοστερνικής βρογχοκήλης (Ευγενική παραχώρηση Dr. V. Penopoulos)

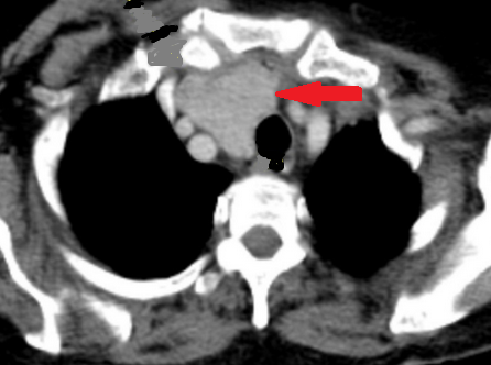
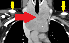
CT θώρακος-τραχήλου. Κόκκινα βέλη — Πολύ μεγάλη οπισθοστερνική βρογχοκήλη. Κίτρινα βέλη — Κλείδες (Ευγενική παραχώρηση Dr. V. Penopoulos)

Σπινθηρογράφημα θυρεοειδούς. Είναι εμφανής η οπισθοστερνική θέση, χωρίς θερμές ή ψυχρές περιοχές (Ευγενική παραχώρηση Dr. V. Penopoulos)

Αρτηρία θυρεοειδούς Neubauer. Thyroidea ima αρτηρία (Ευγενική παραχώρηση Dr. V. Penopoulos)

Καταγραφή δυναμικών κατώτερου λαρυγγικού νεύρου (Ευγενική παραχώρηση Dr. V. Penopoulos)

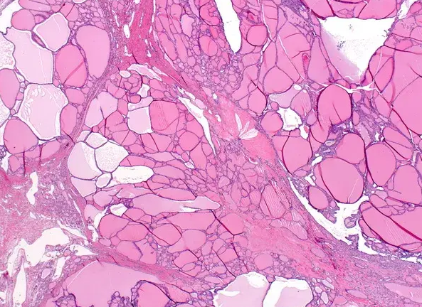
Ιστοπαθολογική εξέταση — Πολυοζώδης βρογχοκήλη (Ευγενική παραχώρηση Dr. V. Penopoulos)

Ιστοπαθολογική εξέταση — Πολυοζώδης βρογχοκήλη (Ευγενική παραχώρηση Dr. V. Penopoulos)

Ιστοπαθολογική εξέταση — Πολυοζώδης βρογχοκήλη (Ευγενική παραχώρηση Dr. V. Penopoulos)

Ιστοπαθολογική εξέταση — Πολυοζώδης βρογχοκήλη (Ευγενική παραχώρηση Dr. V. Penopoulos)

Ιστοπαθολογική εξέταση — Πολυοζώδης βρογχοκήλη (Ευγενική παραχώρηση Dr. V. Penopoulos)

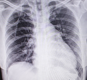
Φυσιολογική ακτινογραφία θώρακος δύο μήνες μετά την επέμβαση (Ευγενική παραχώρηση Dr. V. Penopoulos)

Φυσιολογική ακτινογραφία θώρακος δύο μήνες μετά την επέμβαση (Ευγενική παραχώρηση Dr. V. Penopoulos)

Φυσιολογική ακτινογραφία θώρακος δύο μήνες μετά την επέμβαση (Ευγενική παραχώρηση Dr. V. Penopoulos)

Φυσιολογική ακτινογραφία θώρακος δύο μήνες μετά την επέμβαση (Ευγενική παραχώρηση Dr. V. Penopoulos)

Φυσιολογική ακτινογραφία θώρακος δύο μήνες μετά την επέμβαση (Ευγενική παραχώρηση Dr. V. Penopoulos)

Φυσιολογική ακτινογραφία θώρακος δύο μήνες μετά την επέμβαση (Ευγενική παραχώρηση Dr. V. Penopoulos)

Φυσιολογική ακτινογραφία θώρακος δύο μήνες μετά την επέμβαση (Ευγενική παραχώρηση Dr. V. Penopoulos)

Φυσιολογική ακτινογραφία θώρακος δύο μήνες μετά την επέμβαση (Ευγενική παραχώρηση Dr. V. Penopoulos)

Φυσιολογική ακτινογραφία θώρακος δύο μήνες μετά την επέμβαση (Ευγενική παραχώρηση Dr. V. Penopoulos)

Ακτινογραφία θώρακος μετά από πλύχυνση του αριστερού διαφράγματος. Η πλήρης έκπτυξη του αριστερού πνεύμονα είναι εμφανής. Το αριστερό διάφραγμα πλέον φαίνεται ισιωμένο σε φυσιολογική θέση (Ευγενική παραχώρηση Dr. V. Penopoulos)

Η τελική εμφάνιση των ραμμάτων πλίκωσης, του επικαλυπτόμενου πλέγματος και της θεμελίωσης Nissen στο τέλος της επέμβασης (Ευγενική παραχώρηση Dr. V. Penopoulos)

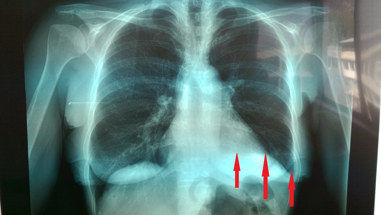
Προεγχειρητική (αριστερά) και μετεγχειρητική (δεξιά) ακτινογραφία θώρακος (Ευγενική παραχώρηση Dr. V. Penopoulos)

Πράσινο βέλος — Εγγύς νήστιδα. Μπλε βέλος — Απόστημα (Ευγενική παραχώρηση Dr. V. Penopoulos).

Πράσινο βέλος — Στόμαχος. Κόκκινο βέλος — Απόστημα (Ευγενική παραχώρηση Dr. V. Penopoulos).

Διερευνητική λαπαροτομία. Κακοστροφή μέσου εντέρου εμφανώς ορατή. Λεπτό έντερο στη δεξιά κοιλία ενώ παχύ έντερο στην αριστερή. Σημειώνεται σκωληκοειδής απόφυση στο αριστερό λαγόνιο βόθρο (Ευγενική παραχώρηση Dr. V. Penopoulos)

Η τομή ταινιών Ladd υποδεικνύεται από ανατομική λαβίδα (Ευγενική παραχώρηση Dr. V. Penopoulos)

Η τομή ταινιών Ladd υποδεικνύεται από ανατομική λαβίδα (Ευγενική παραχώρηση Dr. V. Penopoulos)

Η τομή ταινιών Ladd υποδεικνύεται από ανατομική λαβίδα (Ευγενική παραχώρηση Dr. V. Penopoulos)

Η τομή ταινιών Ladd υποδεικνύεται από ανατομική λαβίδα (Ευγενική παραχώρηση Dr. V. Penopoulos)

Σχήμα 2 . Γιγαντιαία βουβωνοκήλη , που εκτείνεται μέχρι την άρθρωση του γόνατος (ευγενική παραχώρηση Δρ. Β. Πενόπουλου) .

Σχήμα 1 . Το ακραίο μέγεθος του οσχέου είναι εμφανές .( Ευγενική παραχώρηση Δρ Β . Πενόπουλος ) .

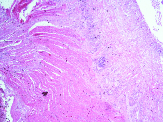
Μικροσκοπική τομή στένωσης που δείχνει υπερτροφική muscularis propria με κάθετα προσανατολισμένες μυϊκές ίνες και υποβλεννογόνια ίνωση (Ευγενική παραχώρηση Dr. V. Penopoulos)

Μικροσκοπική τομή στένωσης που δείχνει υπερτροφική muscularis propria με κάθετα προσανατολισμένες μυϊκές ίνες και υποβλεννογόνια ίνωση (Ευγενική παραχώρηση Dr. V. Penopoulos)

Εντερεκτομή. Πράσινο βέλος: εξέλκωση βλεννογόνου. Μπλε βέλος: διάφραγμα (Ευγενική παραχώρηση Dr. V. Penopoulos)

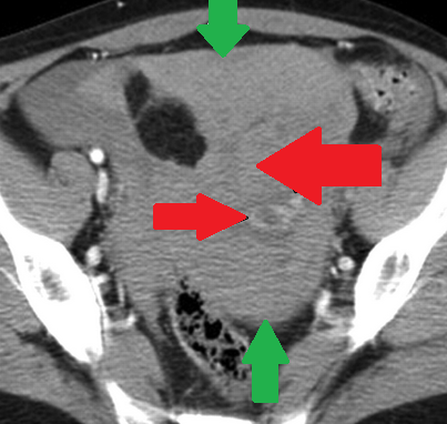
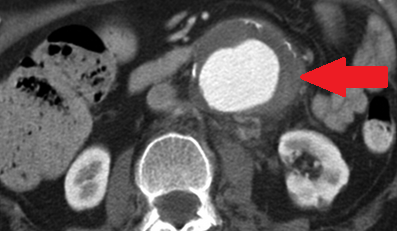
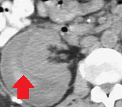
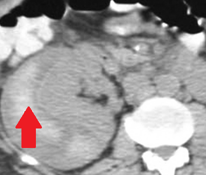
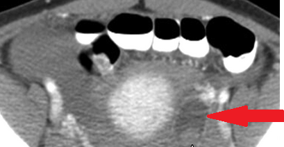
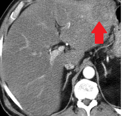
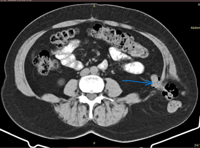
CT. Σημαντικό αιμάτωμα εκτεινόμενο στον προκυστικό χώρο (Ευγενική παραχώρηση Dr. V. Penopoulos).

Διάφορα στάδια αναγνώρισης και αποκατάστασης της κήλης (Ευγενική παραχώρηση Dr. V. Penopoulos)

Φυσιολογική ακτινογραφία θώρακος μετά την αποκατάσταση της κήλης (Ευγενική παραχώρηση Dr. V. Penopoulos)

Μεταεγχειρητική ακτινοσκόπηση με gastrografin. Στομάχι σε φυσιολογική θέση μετά γαστροπηξία (Ευγενική παραχώρηση Dr. V. Penopoulos)

Μεταεγχειρητική ακτινοσκόπηση με gastrografin. Στομάχι σε φυσιολογική θέση μετά γαστροπηξία (Ευγενική παραχώρηση Dr. V. Penopoulos)

Μεταεγχειρητική ακτινοσκόπηση με gastrografin. Στομάχι σε φυσιολογική θέση μετά γαστροπηξία (Ευγενική παραχώρηση Dr. V. Penopoulos)

Μπλε βέλος. Το κηλικό στόμιο διά του οποίου εισέρχεται το ασκιτικό υγρό στη μεσοπλεύρια κήλη (Ευγενική παραχώρηση Dr. V. Penopoulos)

Μπλε βέλος. Το κηλικό στόμιο διά του οποίου εισέρχεται το ασκιτικό υγρό στη μεσοπλεύρια κήλη (Ευγενική παραχώρηση Dr. V. Penopoulos)

Μπλε βέλος. Το κηλικό στόμιο διά του οποίου εισέρχεται το ασκιτικό υγρό στη μεσοπλεύρια κήλη (Ευγενική παραχώρηση Dr. V. Penopoulos)

Μεταεγχειρητική ακτινοσκόπηση με gastrografin. Στομάχι σε φυσιολογική θέση μετά γαστροπηξία (Ευγενική παραχώρηση Dr. V. Penopoulos)

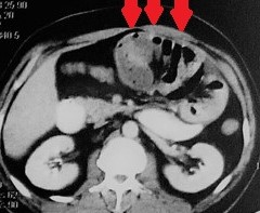
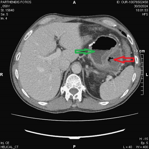
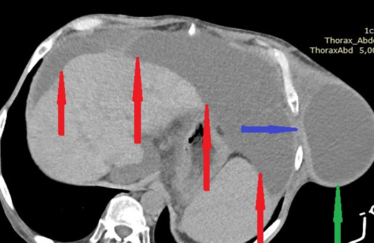
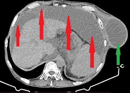
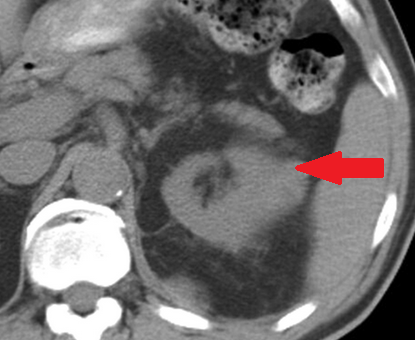
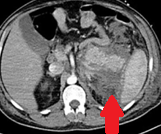
CT κοιλίας. Κόκκινο βέλος – Παγκρεατίτιδα – Περιπαγκρεατική συλλογή στον σπληνονεφρικό χώρο (Ευγενική παραχώρηση Dr. V. Penopoulos)

CT κοιλίας. Κόκκινο βέλος – Παγκρεατίτιδα – Περιπαγκρεατική συλλογή στον σπληνονεφρικό χώρο (Ευγενική παραχώρηση Dr. V. Penopoulos)

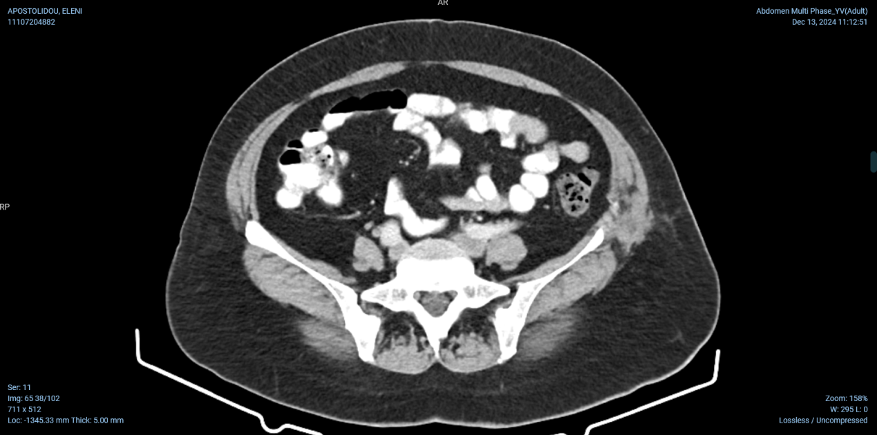
Αξονική τομογραφία. Ύποπτη στροφή μεσεντερίου άνω κοιλίας, εντερικός βρόχος στο κάτω δεξί τεταρτημόριο, διαχωρισμός στη μέση γραμμή κοιλίας (Ευγενική παραχώρηση Dr. V. Penopoulos)

Σχηματική απεικόνιση υμένα που διαχωρίζει την περιτοναϊκή κοιλότητα σε δύο διαμερίσματα (Α) και ραχιαία ρίζα κατιόντος μεσοκόλου συνδεδεμένη με ανιόν κόλον (Β) (Ευγενική παραχώρηση Dr. V. Penopoulos)

Σχηματική απεικόνιση υμένα που διαχωρίζει την περιτοναϊκή κοιλότητα σε δύο διαμερίσματα (Α) και ραχιαία ρίζα κατιόντος μεσοκόλου συνδεδεμένη με ανιόν κόλον (Β) (Ευγενική παραχώρηση Dr. V. Penopoulos)

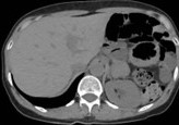
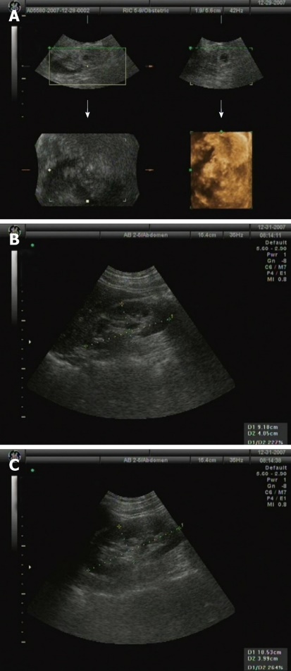
Υπερηχογράφημα κοιλίας και νεφρών χωρίς ανεύρεση μάζας ή συλλογής υγρού (Α), φυσιολογική δομή αριστερού (Β) και δεξιού (Γ) νεφρού (Ευγενική παραχώρηση Dr. V. Penopoulos)
Βουβωνοκήλες
(0 εικόνες)Δεν υπάρχουν εικόνες σε αυτό το κεφάλαιο ακόμα.
Αφαλοκήλες
(0 εικόνες)Δεν υπάρχουν εικόνες σε αυτό το κεφάλαιο ακόμα.















































