Παχύ Έντερο
390 εικόνες · 2 υποκατηγορίες

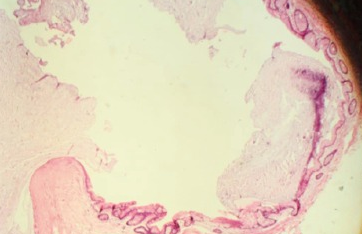
Κύστη που περιέχει πυκνή βλέννα, επενδυμένη με καλόηθες κολικό επιθήλιο, περιβαλλόμενη από ίνωση (Ευγενική παραχώρηση Dr. V. Penopoulos)

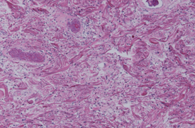
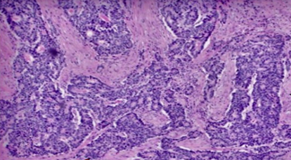
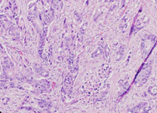
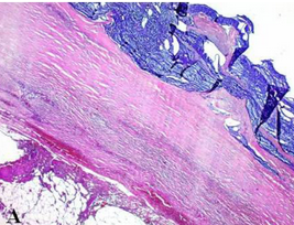
Μικροσκοπική εικόνα μετά από χρώση αιματοξυλίνης-ηωσίνης, που αναδεικνύει ινώδη συνδετικό ιστό χωρίς ατυπία, ομοιάζοντας με δερματικό ίνωμα (Ευγενική παραχώρηση Dr. V. Penopoulos)

Το εξαιρεθέν ίνωμα. Παρατηρείται λευκή, ομοιογενής, ινώδης μάζα (Ευγενική παραχώρηση Dr. V. Penopoulos)

Η στένωση του τερματικού ειλεού διακρίνεται ανάμεσα στα δάκτυλα του χειρουργού (Ευγενική παραχώρηση Dr. V. Penopoulos)

Καθολική γιγαντιαία διάταση ολόκληρου του κόλου (Ευγενική παραχώρηση Dr. V. Penopoulos)

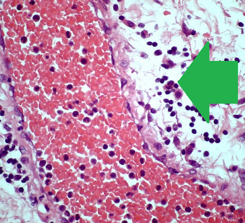
Πράσινο βέλος – εστιακή εξέλκωση κολικού βλεννογόνου. Κίτρινο βέλος – οίδημα και λεμφοκυτταρική διήθηση υποβλεννογόνιου χιτώνα (Ευγενική παραχώρηση Dr. V. Penopoulos)

Παρουσία αέρα στο πυλαίο φλεβικό σύστημα, δευτεροπαθώς σε ισχαιμική κολίτιδα (Ευγενική παραχώρηση Dr. V. Penopoulos)

Κολονοσκόπηση. Ευδιάκριτα ευρήματα ισχαιμικής κολίτιδας (Ευγενική παραχώρηση Dr. V. Penopoulos)

Λεπτομέρεια των εκτεταμένων βλαβών στο εγκάρσιο κόλον (Ευγενική παραχώρηση Dr. V. Penopoulos)

Ενδοσκόπηση μετά από αποβολή stent. Ήπια ανταπόκριση αδενοκαρκινώματος στη χημειοθεραπεία (Ευγενική παραχώρηση Dr. V. Penopoulos)

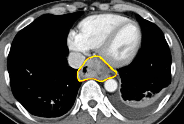
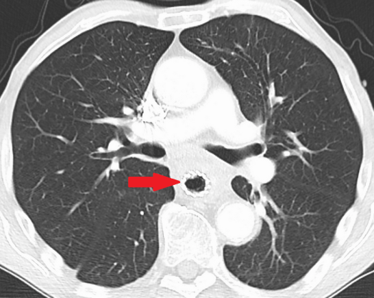
CT θώρακος — Αδενοκαρκίνωμα οισοφάγου με εξωαυλική επέκταση (Ευγενική παραχώρηση Dr. V. Penopoulos)

Πράσινο βέλος – περιφλεβιδική λεμφοκυτταρική διήθηση σε υποβλεννογόνια θέση (Ευγενική παραχώρηση Dr. V. Penopoulos)

Πράσινο βέλος – περιφλεβιδική λεμφοκυτταρική διήθηση σε υποβλεννογόνια θέση (Ευγενική παραχώρηση Dr. V. Penopoulos)

Εκταμέν παρασκεύασμα που εμφανίζει πενταπλά σύγχρονα αδενοκαρκινώματα ορθού (A, B, C, D)

Μετεγχειρητική απεικόνιση ειλεορθικής αναστόμωσης (τροποποιημένη Duhamel). Εμφανής η αναστόμωση του τερματικού ειλεού στο πρόσθιο τοίχωμα του εναπομένοντος κολοβώματος ορθού (Ευγενική παραχώρηση Dr. V. Penopoulos)

Μετεγχειρητική απεικόνιση ειλεορθικής αναστόμωσης (τροποποιημένη Duhamel). Εμφανής η αναστόμωση του τερματικού ειλεού στο πρόσθιο τοίχωμα του εναπομένοντος κολοβώματος ορθού (Ευγενική παραχώρηση Dr. V. Penopoulos)

Μετεγχειρητική απεικόνιση ειλεορθικής αναστόμωσης (τροποποιημένη Duhamel). Εμφανής η αναστόμωση του τερματικού ειλεού στο πρόσθιο τοίχωμα του εναπομένοντος κολοβώματος ορθού (Ευγενική παραχώρηση Dr. V. Penopoulos)

Παρασκεύασμα ολικής κολεκτομής. Κόκκινο βέλος: προηγούμενη κολοκολική αναστόμωση (Ευγενική παραχώρηση Dr. V. Penopoulos)

Παρασκεύασμα ολικής κολεκτομής. Κόκκινο βέλος: προηγούμενη κολοκολική αναστόμωση (Ευγενική παραχώρηση Dr. V. Penopoulos)

Μετεγχειρητική απεικόνιση ειλεορθικής αναστόμωσης (τροποποιημένη Duhamel). Εμφανής η αναστόμωση του τερματικού ειλεού στο πρόσθιο τοίχωμα του εναπομένοντος κολοβώματος ορθού (Ευγενική παραχώρηση Dr. V. Penopoulos)

Διερευνητική λαπαροτομία. Έντονη διάταση του κόλου (Ευγενική παραχώρηση Dr. V. Penopoulos)

Μετεγχειρητική απεικόνιση ειλεορθικής αναστόμωσης (τροποποιημένη Duhamel). Εμφανής η αναστόμωση του τερματικού ειλεού στο πρόσθιο τοίχωμα του εναπομένοντος κολοβώματος ορθού (Ευγενική παραχώρηση Dr. V. Penopoulos)

Μετεγχειρητική απεικόνιση ειλεορθικής αναστόμωσης (τροποποιημένη Duhamel). Εμφανής η αναστόμωση του τερματικού ειλεού στο πρόσθιο τοίχωμα του εναπομένοντος κολοβώματος ορθού (Ευγενική παραχώρηση Dr. V. Penopoulos)

Μετεγχειρητική απεικόνιση ειλεορθικής αναστόμωσης (τροποποιημένη Duhamel). Εμφανής η αναστόμωση του τερματικού ειλεού στο πρόσθιο τοίχωμα του εναπομένοντος κολοβώματος ορθού (Ευγενική παραχώρηση Dr. V. Penopoulos)

Μετεγχειρητική απεικόνιση ειλεορθικής αναστόμωσης (τροποποιημένη Duhamel). Εμφανής η αναστόμωση του τερματικού ειλεού στο πρόσθιο τοίχωμα του εναπομένοντος κολοβώματος ορθού (Ευγενική παραχώρηση Dr. V. Penopoulos)

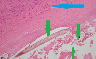
Πράσινα βέλη: Τρίχες. Μπλε βέλος: Ινώδες στρώμα (Ευγενική παραχώρηση Dr. V. Penopoulos)

Πράσινα βέλη: Τρίχες. Μπλε βέλος: Ινώδες στρώμα (Ευγενική παραχώρηση Dr. V. Penopoulos)

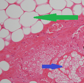
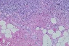
Πράσινο βέλος: Λιπώδης ιστός. Μοβ βέλος: Σμηγματογόνοι αδένες (Ευγενική παραχώρηση Dr. V. Penopoulos)

Χειρουργικά παρασκευάσματα ώριμου τερατώματος και σκωληκοειδούς (Ευγενική παραχώρηση Dr. V. Penopoulos)

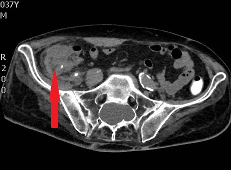
CT scan κοιλίας. Παρουσία ασβεστώσεων, κυστικο-συμπαγών περιοχών και λιπώδους ιστού, ενδεικτικά τερατώματος δεξιάς πλευράς (Ευγενική παραχώρηση Dr. V. Penopoulos)

Προβολή πλέγματος πολυπροπυλενίου μέσω του πρωκτού (Ευγενική παραχώρηση Dr. V. Penopoulos)

Εκτομαθέν τμήμα τελικής κολοστομίας. Μπλε βέλη — Θέσεις εκκολπώσεων (Ευγενική παραχώρηση Dr. V. Penopoulos)

Μη φλεγμαίνουσες εκκολπώσεις στο κολικό τμήμα αμέσως κάτω από την εξωτερικευμένη τελική κολοστομία (Ευγενική παραχώρηση Dr. V. Penopoulos)

Κίτρινα βέλη — Φλεγμαίνουσες εκκολπώσεις στο εξω-κοιλιακό εντερικό τμήμα. Πράσινο βέλος — Υγρή συλλογή (Ευγενική παραχώρηση Dr. V. Penopoulos)

CT κοιλίας. Διάβρωση/μετανάστευση του πλέγματος εντός του ορθού (Ευγενική παραχώρηση Dr. V. Penopoulos)

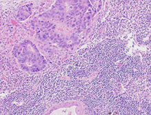
Φλεγμονώδης κλοακογενής πολύποδας με φλεγμονώδες ινομυϊκό στρώμα και υπερπλαστικό επιθήλιο (Ευγενική παραχώρηση Dr. V. Penopoulos)

Φλεγμονώδης κλοακογενής πολύποδας με φλεγμονώδες ινομυϊκό στρώμα και υπερπλαστικό επιθήλιο (Ευγενική παραχώρηση Dr. V. Penopoulos)

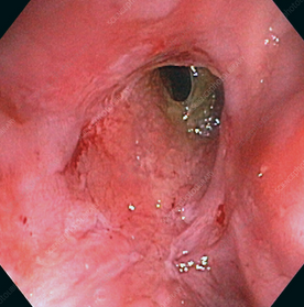
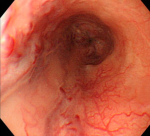
Κολονοσκόπηση που αποκαλύπτει πολυποειδή μάζα που προβάλλει στο μέσο τμήμα της αριστερής κολικής καμπής

Χειρουργικό παρασκεύασμα. Εμφανής η νέκρωση τμήματος του τυφλού (Ευγενική παραχώρηση Dr. V. Penopoulos)

Πράσινο βέλος: νέκρωση τυφλού. Μπλε βέλος: φυσιολογική σκωληκοειδής απόφυση (Ευγενική παραχώρηση Dr. V. Penopoulos)

Πράσινο βέλος: νέκρωση τυφλού. Μπλε βέλος: φυσιολογική σκωληκοειδής απόφυση (Ευγενική παραχώρηση Dr. V. Penopoulos)

PET Scan. Μεταστατικό καρκίνωμα στη δεξιά υπερώια αμυγδαλή (Ευγενική παραχώρηση Dr. V. Penopoulos).

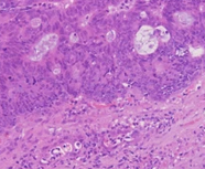
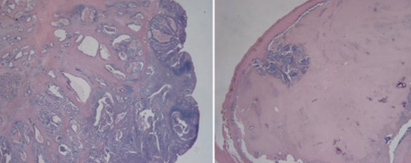
Μικροσκοπική εικόνα εκτεταμένου σχηματισμού ψαμμωδών σωματίων (Ευγενική παραχώρηση Dr. V. Penopoulos)

Χειρουργικό παρασκεύασμα. Εμφανής η νέκρωση τμήματος του τυφλού (Ευγενική παραχώρηση Dr. V. Penopoulos)

Μικροσκοπική εικόνα εκτεταμένου σχηματισμού ψαμμωδών σωματίων (Ευγενική παραχώρηση Dr. V. Penopoulos)

Εκτεμημένο παρασκεύασμα en bloc. Κόκκινο βέλος αδενοκαρκίνωμα ορθοσιγμοειδούς. Πράσινο βέλος μήτρα – ινομυώματα μήτρας. Μοβ βέλος κεκρυμμένο ψαμμοκαρκίνωμα αριστερής ωοθήκης (Ευγενική παραχώρηση Dr. V. Penopoulos)

Μικροσκοπική εικόνα εκτεταμένου σχηματισμού ψαμμωδών σωματίων (Ευγενική παραχώρηση Dr. V. Penopoulos)

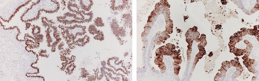
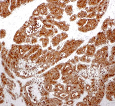
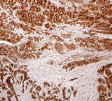
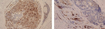
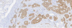
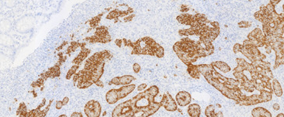
Θετική ανοσοϊστοχημεία για CDX2 και κυτοκερατίνη 20 του ωοθηκικού όγκου (Ευγενική παραχώρηση Dr. V. Penopoulos)

Θετική ανοσοϊστοχημεία για CDX2 και κυτοκερατίνη 20 του ωοθηκικού όγκου (Ευγενική παραχώρηση Dr. V. Penopoulos)

Θετική ανοσοϊστοχημεία για CDX2 και κυτοκερατίνη 20 του ωοθηκικού όγκου (Ευγενική παραχώρηση Dr. V. Penopoulos)

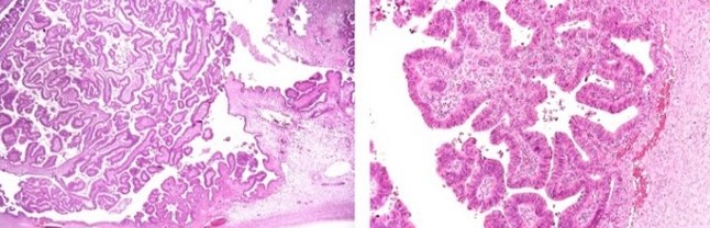
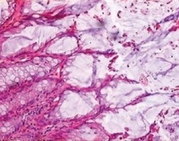
Μικροφωτογραφίες ιστοπαθολογίας ωοθηκικού ιστού που αναδεικνύουν στερεές περιοχές αποτελούμενες κυρίως από θηλώδεις δομές και λίγους αδένες καλυπτόμενους από στρώμα κακοήθων επιθηλιακών κυττάρων (Ευγενική παραχώρηση Dr. V. Penopoulos)

Μακροσκοπική εμφάνιση ωοθήκης μετά ολική υστερεκτομή σε γυναίκα 46 ετών με μετάχρονες ωοθηκικές μεταστάσεις που διαγνώστηκαν δύο χρόνια μετά δεξιά ημικολεκτομή για καρκίνωμα ανιόντος κόλου. Η μακροσκοπική εμφάνιση του ωοθηκικού όγκου αναδεικνύει κυστικές και στερεές περιοχές (Ευγενική παραχώρηση Dr. V. Penopoulos)

Ακραία φλεγμονή του αριστερού ημικολικού δευτεροπαθώς σε εκκολπωματίτιδα και καλυμμένες διατρήσεις (Ευγενική παραχώρηση Dr. V. Penopoulos)

Ακραία φλεγμονή του αριστερού ημικολικού δευτεροπαθώς σε εκκολπωματίτιδα και καλυμμένες διατρήσεις (Ευγενική παραχώρηση Dr. V. Penopoulos)

Διάτρηση του τυφλού δευτεροπαθής σε συνυπάρχουσα στένωση-απόφραξη κατιόντος σιγμοειδούς κόλου (Ευγενική παραχώρηση Dr. V. Penopoulos)

Εκκόλαση Meckel — Παρουσία έκτοπου γαστρικού βλεννογόνου (Ευγενική παραχώρηση Dr. V. Penopoulos)

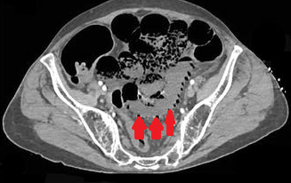
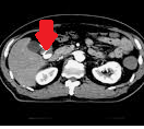
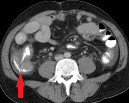
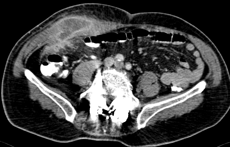
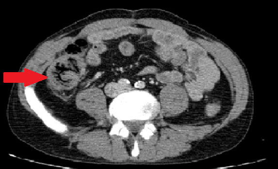
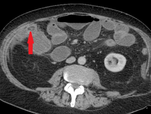
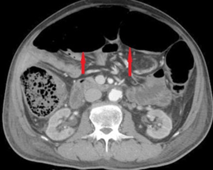
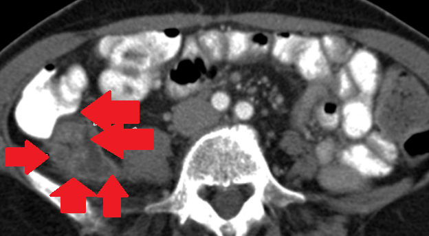
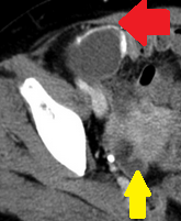
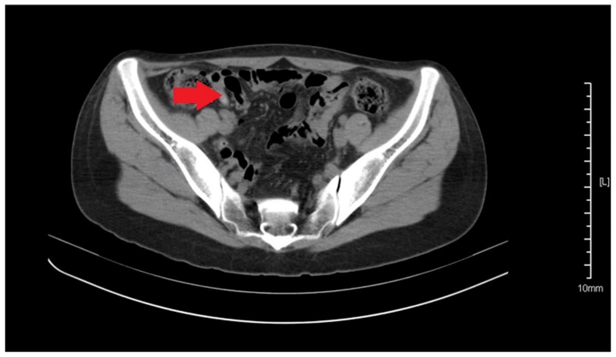
CT κοιλίας. Κόκκινο βέλος — Τυφλίτιδα. Σημαντική πάχυνση τοιχώματος τυφλού (Ευγενική παραχώρηση Dr. V. Penopoulos)

CT κοιλίας. Κόκκινο βέλος — Τυφλίτιδα. Σημαντική πάχυνση τοιχώματος τυφλού (Ευγενική παραχώρηση Dr. V. Penopoulos)

CT κοιλίας. Κόκκινο βέλος — Τυφλίτιδα. Σημαντική πάχυνση τοιχώματος τυφλού (Ευγενική παραχώρηση Dr. V. Penopoulos)

Παρασκεύασμα μίνι δεξιάς ημικολεκτομής — Είναι εμφανής νέκρωση και διάτρηση τυφλού (Ευγενική παραχώρηση Dr. V. Penopoulos)

Μακροσκοπική άποψη μετά από χειρουργική εκτομή νεκρωτικού ιστού (Ευγενική παραχώρηση Dr. V. Penopoulos)

MRI περινέου. Κόκκινο βέλος — Παραορθικό συρίγγιο (Ευγενική παραχώρηση Dr. V. Penopoulos)

Παρασκεύασμα μίνι δεξιάς ημικολεκτομής. Κόκκινο περίγραμμα: λίπωμα. Μπλε περίγραμμα: ειλεοτυφλική βαλβίδα. Πράσινο βέλος: απεικονίζει την πορεία του λιπώματος, με αποτέλεσμα πλήρη απόφραξη της ειλεοτυφλικής βαλβίδας (Ευγενική παραχώρηση Dr. V. Penopoulos)

Παρασκεύασμα σιγμοειδούς. Πράσινο βέλος: σωληνολαχνωτό αδένωμα που έχει μετατραπεί σε αδενοκαρκίνωμα (Ευγενική παραχώρηση Dr. V. Penopoulos)

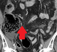
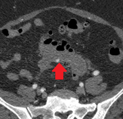
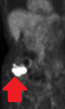
CT κοιλίας. Κόκκινο βέλος: λίπωμα ειλεοτυφλικής βαλβίδας (Ευγενική παραχώρηση Dr. V. Penopoulos)

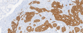
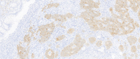
Ανοσοϊστοχημική εξέταση. Θετικότητα για Συναπτοφυσίνη (Ευγενική παραχώρηση Dr. V. Penopoulos).

Ανοσοϊστοχημική εξέταση. Θετικότητα για Χρωμογρανίνη Β (Ευγενική παραχώρηση Dr. V. Penopoulos).

Παρασκεύασμα δεξιάς ημικολεκτομής. Το νεόπλασμα του τυφλού είναι σαφώς ορατό (Ευγενική παραχώρηση Dr. V. Penopoulos).

Εκτεταμένη κολεκτομή ισχαιμικού νεκρωτικού παχέος εντέρου (Ευγενική παραχώρηση Dr. V. Penopoulos)

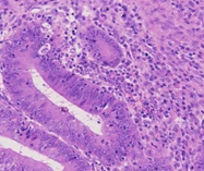
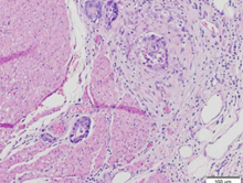
Ιστολογικά ευρήματα βλεννώδους κυσταδενώματος της σκωληκοειδούς. Κυλινδρικό επιθήλιο και παραγωγή βλέννης. Σημειώστε την απουσία ατυπίας και μιτωτικών μορφών

En bloc ορθοσιγμοειδεκτομή συν ολική υστερεκτομία. Μπλε βέλος: Ουτερο-κολικό συρίγγιο. Κίτρινος κύκλος: Ινομύωμα μήτρας (Ευγενική παραχώρηση Dr. V. Penopoulos).

Παρασκευάσματα δεξιάς ημικολεκτομής και χολοκυστεκτομής (Ευγενική παραχώρηση Dr. V. Penopoulos)

Επικαλυπτική σφιγκτηροπλαστική. Σχηματική απεικόνιση (Ευγενική παραχώρηση Dr. V. Penopoulos)

Πράσινο βέλος - εσωτερικός και κίτρινο βέλος - εξωτερικός σφιγκτήρας μετά επιμελή αποκόλληση (Ευγενική παραχώρηση Dr. V. Penopoulos)

Επικαλυπτική σφιγκτηροπλαστική. Σχηματική απεικόνιση (Ευγενική παραχώρηση Dr. V. Penopoulos)

Επικαλυπτική σφιγκτηροπλαστική. Σχηματική απεικόνιση (Ευγενική παραχώρηση Dr. V. Penopoulos)

Κόκκινο βέλος - Αιμορραγούσα εκκόλπωση εγκάρσιου κόλου (Ευγενική παραχώρηση Dr. V. Penopoulos)

Κόκκινο βέλος - Αιμορραγούσα εκκόλπωση σιγμοειδούς κόλου (Ευγενική παραχώρηση Dr. V. Penopoulos)

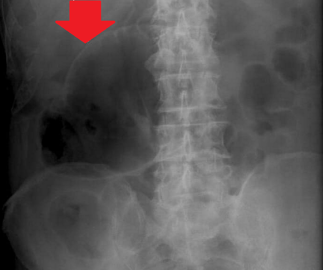
Σχήμα 1 . Η αξονική τομογραφία με ενισχυμένη με σκιαγραφικό έδειξε μια ακανόνιστη περιφερική μάζα στο αριστερό μισό του εγκάρσιου κόλου με λιπώδη συσσωμάτωση δίπλα σε παχυσμένο τοίχωμα του εντέρου. ( Ευγενική παραχώρηση Δρ. Β. Πενόπουλος ) .

Σχήμα 5 . Η αξονική τομογραφία έδειξε μια οπισθοπεριτοναϊκή μάζα που περιβάλλει τον αριστερό οσφυϊκό ουρητήρα και προκαλεί ουρητηρο-υδρονέφρωση: Η βλάβη αυτή υποδηλώνει υποτροπή . ( Ευγενική παραχώρηση Δρ. Β. Πενόπουλος ) .

Σχήμα 6 . Υποτροπιάζουσα οπισθοπεριτοναϊκή μάζα μεγέθους 3 × 2,5 cm αποτελούμενη από αδενοκαρκίνωμα και νευροενδοκρινή (GIII). Η ανοσοϊστοχημική μελέτη αποκάλυψε νευροενδοκρινικά κύτταρα θετικά για χρωμογρανίνη Α . ( Ευγενική παραχώρηση Δρ. Β. Πενόπουλος ) .

Σχήμα 2 . Μεγαλοκυτταρικό νευροενδοκρινικό καρκίνωμα, θετικό για χρωμογρανίνη Α, και μέτρια διαφοροποιημένο αδενοκαρκίνωμα σε εικόνα σύγκρουσης.

2017 : Μεταχρονικό αδενοκαρκίνωμα του ειλεού με μεταστάσεις στους λεμφαδένες (Ευγενική παραχώρηση Δρ. Β. Πενόπουλος)

2017 : Μεταχρονικό αδενοκαρκίνωμα του ειλεού με μεταστάσεις στους λεμφαδένες (Ευγενική παραχώρηση Δρ. Β. Πενόπουλος)

2015 : Πολύ χαμηλή πρόσθια εκτομή υποτροπής του ορθού (Ευγενική παραχώρηση Δρ. Β. Πενόπουλος)

Σχήμα 1 . Γιγαντιαίο λαχνώδες αδένωμα που αφαιρέθηκε πλήρως με AP εκτομή . ( Ευγενική παραχώρηση Δρ. Β. Πενόπουλος ) .

2017 : Μεταχρονικό αδενοκαρκίνωμα του ειλεού με μεταστάσεις στους λεμφαδένες (Ευγενική παραχώρηση Δρ. Β. Πενόπουλος)

Διαγνωστική λαπαροσκόπηση. Φλεγμαίνον επίπλοϊκό εξάρτημα (Ευγενική παραχώρηση Dr. V. Penopoulos)

CT κοιλίας. Κόκκινα βέλη – Φλεγμαίνον επίπλοϊκό εξάρτημα με υπέρπυκνο περιφερικό περίβλημα (Ευγενική παραχώρηση Dr. V. Penopoulos)

Μακροσκοπική άποψη την 2η μετεγχειρητική ημέρα. Πράσινο περίγραμμα: περιοχή εκτομής αιμορραγούντων κιρσών (Ευγενική παραχώρηση Dr. V. Penopoulos)

Μακροσκοπική άποψη την 2η μετεγχειρητική ημέρα. Πράσινο περίγραμμα: περιοχή εκτομής αιμορραγούντων κιρσών (Ευγενική παραχώρηση Dr. V. Penopoulos)

Αιμορραγούντες ανορθικοί κιρσοί (πράσινα βέλη). Έντονη διάταση εξωτερικού αιμορροϊδικού φλεβικού πλέγματος, επικοινωνούντος με τους ορθικούς κιρσούς (μπλε βέλη) (Ευγενική παραχώρηση Dr. V. Penopoulos)

Αιμορραγούντες ανορθικοί κιρσοί (πράσινα βέλη). Έντονη διάταση εξωτερικού αιμορροϊδικού φλεβικού πλέγματος, επικοινωνούντος με τους ορθικούς κιρσούς (μπλε βέλη) (Ευγενική παραχώρηση Dr. V. Penopoulos)

Εκτομή συρριγγώδους πόρου μαζί με κυστικό σχηματισμό υποδόριου λίπους (Ευγενική παραχώρηση Dr. V. Penopoulos)

Ανορθικοί κιρσοί. Έντονη διάταση εξωτερικού αιμορροϊδικού φλεβικού πλέγματος, με εμφανή επικοινωνία με το φλεβικό δίκτυο των ορθικών κιρσών. Επισημαίνεται αρχόμενη ρήξη κιρσού στη θέση ωρολογίου 12 (Ευγενική παραχώρηση Dr. V. Penopoulos)

Οισοφαγικοί κιρσοί στη θέση ωρολογίου 2. Παχύ προεξέχον αγγείο επί του κιρσού που αντιπροσωπεύει αιματοκυστική κηλίδα (Ευγενική παραχώρηση Dr. V. Penopoulos)

Ψευδοόγκος ρίζας μεσεντερίου – Μεσεντερική παννικουλίτιδα (Ευγενική παραχώρηση Dr. V. Penopoulos)

Οισοφαγικοί κιρσοί στις θέσεις ωρολογίου 6 και 9. Κηράσιες κόκκινες κηλίδες στη θέση ωρολογίου 9. Κόκκινες ραβδώσεις στη θέση ωρολογίου 6, καθώς και αιματοκυστικές κηλίδες (Ευγενική παραχώρηση Dr. V. Penopoulos)

Κόκκινα βέλη: μαζική διάταση της δεξιάς ανώτερης ορθικής φλέβας. Παράπλευρη κυκλοφορία μεταξύ ανώτερων ορθικών φλεβών (κόκκινα βέλη) και ανορθικών κιρσών (κίτρινα και πράσινα βέλη) (Ευγενική παραχώρηση Dr. V. Penopoulos)

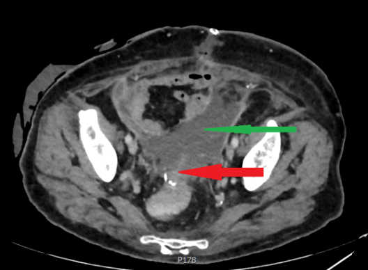
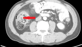
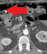
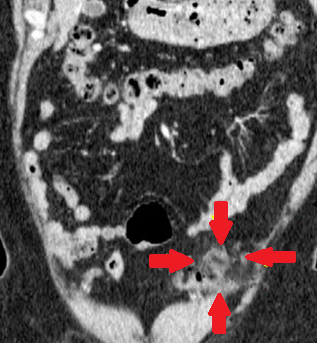
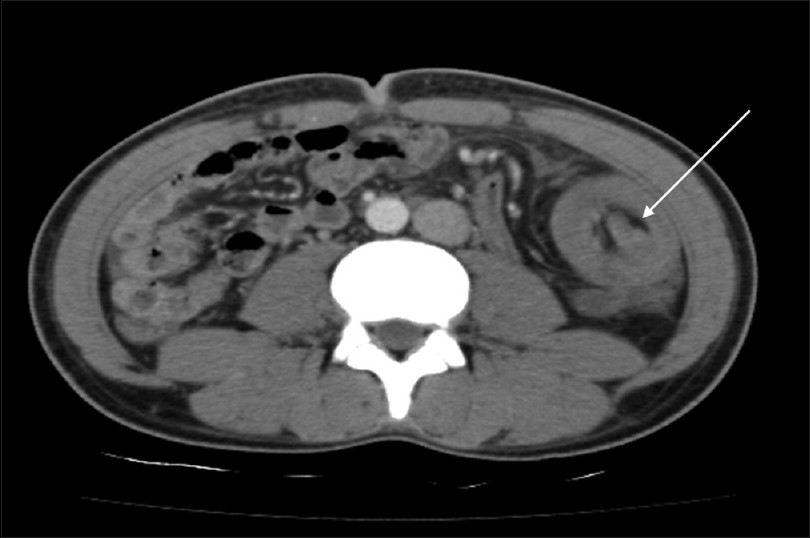
CT κοιλίας - MALToma τυφλού και παρακολικός λεμφαδένας (Ευγενική παραχώρηση Dr. V. Penopoulos)

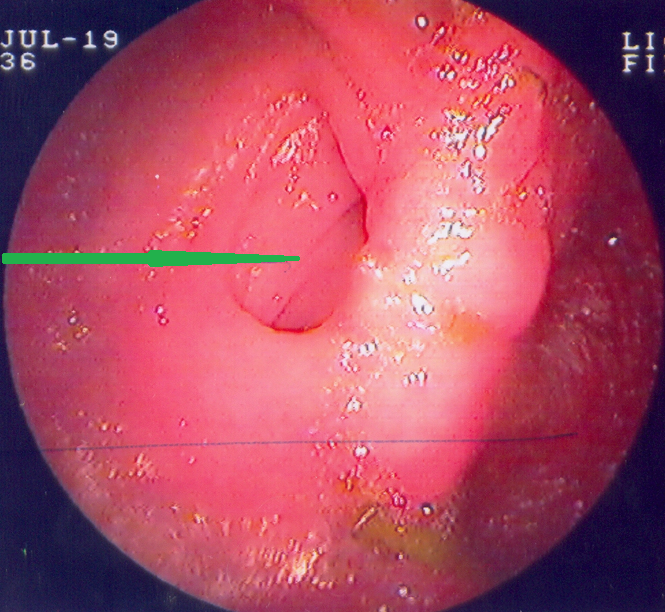
Κολονοσκοπική εικόνα βλεννοκήλης — Υποβλεννογόνια μάζα. Μπλε βέλος — «Σημείο ηφαιστείου» (Ευγενική παραχώρηση Dr. V. Penopoulos)

Κολονοσκοπική εικόνα βλεννοκήλης — Υποβλεννογόνια μάζα. Μπλε βέλος — «Σημείο ηφαιστείου» (Ευγενική παραχώρηση Dr. V. Penopoulos)

Αφαίρεση διάσπαρτου ζελατινώδους υλικού από την περιτοναϊκή κοιλότητα (Ευγενική παραχώρηση Dr. V. Penopoulos)

Ψευδομύξωμα περιτοναίου — Πλήρης κάλυψη μείζονος επιπλόου (Ευγενική παραχώρηση Dr. V. Penopoulos)

Κολονοσκοπική εικόνα εντύλιξης βλεννοκήλης σκωληκοειδούς (Ευγενική παραχώρηση Dr. V. Penopoulos)

CT — Βλεννοκήλη σκωληκοειδούς — Ειλεοκολική εντύλιξη (Ευγενική παραχώρηση Dr. V. Penopoulos)

CT — Βλεννοκήλη σκωληκοειδούς — Ειλεοκολική εντύλιξη (Ευγενική παραχώρηση Dr. V. Penopoulos)

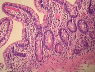
Ιστοπαθολογική εξέταση βλεννοκήλης σκωληκοειδούς. Εκτεταμένη βλέννα στον αυλό της σκωληκοειδούς, ατροφία βλεννογόνου, λέπτυνση τοιχώματος και χρόνια φλεγμονώδης κυτταρική διήθηση (Ευγενική παραχώρηση Dr. V. Penopoulos)

Ιστοπαθολογική εξέταση βλεννοκήλης σκωληκοειδούς. Εκτεταμένη βλέννα στον αυλό της σκωληκοειδούς, ατροφία βλεννογόνου, λέπτυνση τοιχώματος και χρόνια φλεγμονώδης κυτταρική διήθηση (Ευγενική παραχώρηση Dr. V. Penopoulos)

Βλεννοζελατινώδες περιεχόμενο βλεννοκήλης σκωληκοειδούς (Ευγενική παραχώρηση Dr. V. Penopoulos)

Παρασκεύασμα μείζονος επιπλόου. Παρουσία πολλαπλών μικροσκοπικών εμφυτευμάτων (Ευγενική παραχώρηση Dr. V. Penopoulos)

Εκτομή δεξιού εξαρτήματος en bloc με βρεγματικό περιτόναιο. Πράσινοι κύκλοι — Μικροσκοπικά εμφυτεύματα (Ευγενική παραχώρηση Dr. V. Penopoulos)

CT κοιλίας - MALToma τυφλού και παρακολικός λεμφαδένας (Ευγενική παραχώρηση Dr. V. Penopoulos)

PET scan ολόκληρου σώματος. Παθολογική πρόσληψη στη δεξιά υπερώια αμυγδαλή (Ευγενική παραχώρηση Dr. V. Penopoulos)

PET scan ολόκληρου σώματος. Παθολογική πρόσληψη στη δεξιά υπερώια αμυγδαλή (Ευγενική παραχώρηση Dr. V. Penopoulos)

PET scan ολόκληρου σώματος. Παθολογική πρόσληψη στη δεξιά υπερώια αμυγδαλή (Ευγενική παραχώρηση Dr. V. Penopoulos)

Αδενοκαρκίνωμα — Κοιλιοπερινεϊκή εκτομή ορθού. Κίτρινο βέλος — Εστία εκτομαθέντος νεοπλάσματος (Ευγενική παραχώρηση Dr. V. Penopoulos)

Αδενοκαρκίνωμα — Κοιλιοπερινεϊκή εκτομή ορθού. Κίτρινο βέλος — Εστία εκτομαθέντος νεοπλάσματος (Ευγενική παραχώρηση Dr. V. Penopoulos)

Αδενοκαρκίνωμα — Κοιλιοπερινεϊκή εκτομή ορθού. Κίτρινο βέλος — Εστία εκτομαθέντος νεοπλάσματος (Ευγενική παραχώρηση Dr. V. Penopoulos)

Μπλε βέλος — Άνω χείλος πρωκτοτομής. Κίτρινο βέλος — Νεόπλασμα ορθού (Ευγενική παραχώρηση Dr. V. Penopoulos)

Πράσινο βέλος — Πρωκτός. Μπλε βέλος — Ορθό. Ροζ βέλος — Ταινία που περιβάλλει το ορθό (Ευγενική παραχώρηση Dr. V. Penopoulos)

Μπλε βέλος — Έκθεση του ορθού. Είσοδος στον προϊερό χώρο από τα δεξιά (Ευγενική παραχώρηση Dr. V. Penopoulos)

Αφαιρεθέν ορθοσιγμοειδές. Η θέση του διατρημένου εκκολπωματικού αποστήματος είναι εμφανής

Σχήμα 4 . Κιρσοί αιδοίου και κλειτορίδας . ( Ευγενική παραχώρηση Δρ. Β. Πενόπουλος ) .

Σχήμα 3 . Υποβλεννογόνιοι ειλεοκολικοί κιρσοί χωρίς σημασία . ( Ευγενική παραχώρηση Δρ. Β. Πενόπουλος ) .

Σχήμα 1 . Διακρίνονται καθαρά οι υποβλεννογόνιοι κιρσοί του ορθού . ( Ευγενική παραχώρηση Δρ . Β . Πενόπουλος ) .

Σχήμα 2 . Σύνδρομο πυελικής συμφόρησης . Διατεταμένες αριστερές ωοθηκικές φλέβες , αριστερές ουρητηρικές φλέβες , ωοθηκικός κιρσός και παραμητρικές φλέβες . ( Ευγενική παραχώρηση Δρ Β . Πενόπουλος ) .

Σχήμα 5 . Οσφυϊκή περιοχή και περιπρωκτικοί κιρσοί μαζί με πρόπτωση αιμορροΐδων πριν από τη χειρουργική επέμβαση . Δεν εντοπίστηκε καμία ανωμαλία στα λαγόνια αγγεία . (Ευγενική παραχώρηση Δρ. Β. Πενόπουλος) .

Ανοσοϊστοχημική εξέταση θετική για συναπτοφυσίνη (Ευγενική παραχώρηση Dr. V. Penopoulos)

Το παρασκεύασμα διατμημένο από τον παθολογοανατόμο (Ευγενική παραχώρηση Dr. V. Penopoulos)

Η εκταμένη μάζα μαζί με το δεξιό ημικόλο και το κοιλιακό τοίχωμα (Ευγενική παραχώρηση Dr. V. Penopoulos)

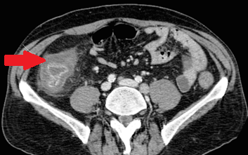
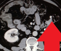
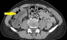
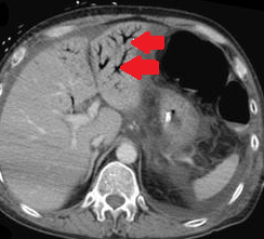
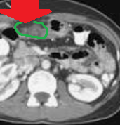
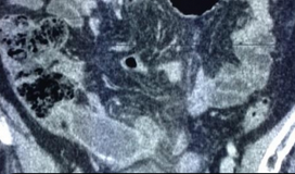
Εικόνες CT κοιλίας, που δείχνουν κυστικού τύπου βλάβη, μεταξύ ήπατος και ηπατικής καμπής του κόλου, σε επαφή με το εξωτερικό στρώμα του εντέρου, με πεπαχυσμένο τοίχωμα και χαμηλής πυκνότητας κέντρο (Ευγενική παραχώρηση Dr. V. Penopoulos)

Διηθημένοι λεμφαδένες με καρκινικά και άτυπα λεμφοκύτταρα (Ευγενική παραχώρηση Dr. V. Penopoulos)

Το αποφρακτικό αδενοκαρκίνωμα του εγκάρσιου κόλου (Ευγενική παραχώρηση Dr. V. Penopoulos)

Το αποφρακτικό αδενοκαρκίνωμα του εγκάρσιου κόλου (Ευγενική παραχώρηση Dr. V. Penopoulos)

Διηθημένοι λεμφαδένες με καρκινικά και άτυπα λεμφοκύτταρα (Ευγενική παραχώρηση Dr. V. Penopoulos)

Ανοσοϊστοχημική εξέταση θετική για χρωμογρανίνη (Ευγενική παραχώρηση Dr. V. Penopoulos)

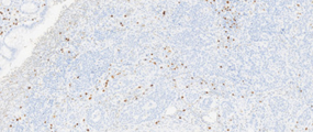
Ανοσοϊστοχημική εξέταση θετική για νευρωνο-ειδική ενολάση (Ευγενική παραχώρηση Dr. V. Penopoulos)

Απλή ακτινογραφία κοιλίας. Σημείο υπερδιαυγαστικού ήπατος (Ευγενική παραχώρηση Dr. V. Penopoulos)

Απλή ακτινογραφία κοιλίας - Πολύχρωμα βέλη - Σημείο Rigler (Ευγενική παραχώρηση Dr. V. Penopoulos)

Απλή ακτινογραφία κοιλίας - Πολύχρωμα βέλη - Σημείο Rigler (Ευγενική παραχώρηση Dr. V. Penopoulos)

Διεγχειρητική εικόνα χρόνια φλεγμαίνουσας, διατεταμένης, δυσλειτουργικής ταύτης με συνοδό διάταση εγγύτερων ελίκων λεπτού εντέρου (Ευγενική παραχώρηση Dr. V. Penopoulos)

Απλή ακτινογραφία κοιλίας. Διάταση ειλεϊκής ταύτης και μετατόπισή της στη δεξιά πλευρά της κοιλίας (Ευγενική παραχώρηση Dr. V. Penopoulos)

Μετεγχειρητικές βιοψίες ειλεϊκής ταύτης - Προσαρμογή ταύτης (Ευγενική παραχώρηση Dr. V. Penopoulos)

Μετεγχειρητικές βιοψίες ειλεϊκής ταύτης - Προσαρμογή ταύτης (Ευγενική παραχώρηση Dr. V. Penopoulos)

Μετεγχειρητικές βιοψίες ειλεϊκής ταύτης - Προσαρμογή ταύτης (Ευγενική παραχώρηση Dr. V. Penopoulos)

Μετεγχειρητικές βιοψίες ειλεϊκής ταύτης - Προσαρμογή ταύτης (Ευγενική παραχώρηση Dr. V. Penopoulos)

Πράσινο βέλος - Φυσιολογικό τυφλό άκρο ειλεϊκής ταύτης (Ευγενική παραχώρηση Dr. V. Penopoulos)

Μετεγχειρητικές βιοψίες ειλεϊκής ταύτης - Προσαρμογή ταύτης (Ευγενική παραχώρηση Dr. V. Penopoulos)

Μετεγχειρητικές βιοψίες ειλεϊκής ταύτης - Προσαρμογή ταύτης (Ευγενική παραχώρηση Dr. V. Penopoulos)

Μετεγχειρητικές βιοψίες ειλεϊκής ταύτης - Προσαρμογή ταύτης (Ευγενική παραχώρηση Dr. V. Penopoulos)

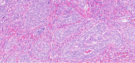
Φωτομικρογραφία ιστολογικής τομής χρωματισμένης με αιματοξυλίνη και ηωσίνη που αποκαλύπτει τα νευροενδοκρινικά κύτταρα του όγκου (Ευγενική παραχώρηση Dr. V. Penopoulos)

Φωτομικρογραφία ιστολογικής τομής χρωματισμένης με αιματοξυλίνη και ηωσίνη που αποκαλύπτει τα νευροενδοκρινικά κύτταρα του όγκου (Ευγενική παραχώρηση Dr. V. Penopoulos)

Φωτομικρογραφία ιστολογικής τομής χρωματισμένης με αιματοξυλίνη και ηωσίνη που αποκαλύπτει τα νευροενδοκρινικά κύτταρα του όγκου (Ευγενική παραχώρηση Dr. V. Penopoulos)

Φωτομικρογραφία ιστολογικής τομής χρωματισμένης με αιματοξυλίνη και ηωσίνη που αποκαλύπτει τα νευροενδοκρινικά κύτταρα του όγκου (Ευγενική παραχώρηση Dr. V. Penopoulos)
Κολεκτομές
(0 εικόνες)Δεν υπάρχουν εικόνες σε αυτό το κεφάλαιο ακόμα.
Πρωκτοεκτομές
(0 εικόνες)Δεν υπάρχουν εικόνες σε αυτό το κεφάλαιο ακόμα.










































































































































































































































